Promotional price valid on web orders only. Your contract pricing may differ. Interested in signing up for a dedicated account number?
Learn More
Learn More
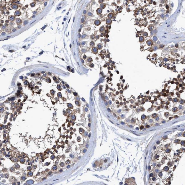
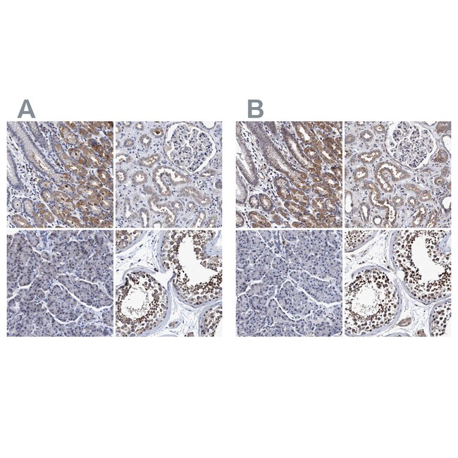
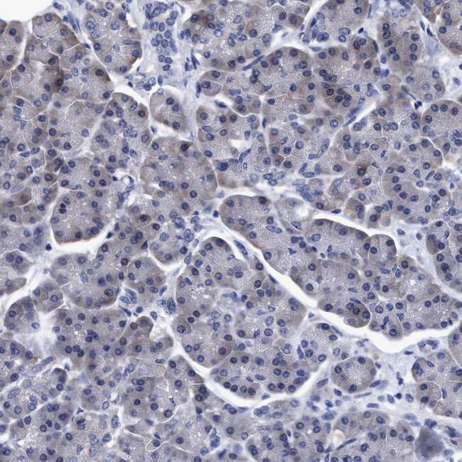
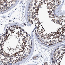
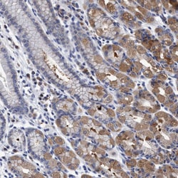
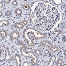
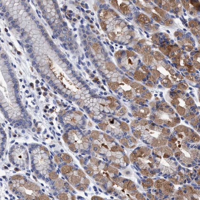
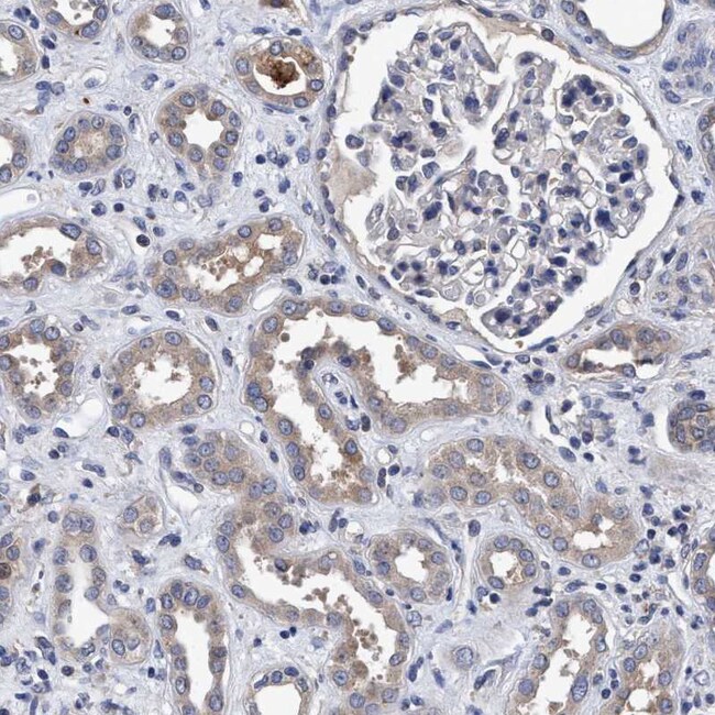
Invitrogen™ CALCOCO2 Polyclonal Antibody

Rabbit Polyclonal Antibody
Supplier: Invitrogen™ PA5110883
Description
Immunogen sequence: YYLPKDDEYY QFCYVDEDGV VRGASIPFQF RPENEEDILV VTTQGEVEEI EQHNKELCKE NQELKDSCIS LQKQNSD.
The protein encoded by this gene is a subunit of nuclear domain 10 (ND10) bodies. ND10 bodies are nuclear domains appearing immunohistochemically as ten dots per nucleus. They are believed to be associated with the nuclear matrix on the basis of their resistance to nuclease digestion and salt extraction. ND10 proteins are removed from the nucleus by herpes simplex virus-1 infection and may have a role in viral life cycles.
Specifications
CALCOCO2 | |
Polyclonal | |
PBS with 40% glycerol and 0.02% sodium azide; pH 7.2 | |
Q13137 | |
CALCOCO2 | |
Recombinant Protein corresonding to Human CALCOCO2. Recombinant protein control fragment (Product #RP-93320). | |
100 μL | |
Primary | |
Human | |
Antibody | |
IgG |
Immunohistochemistry (Paraffin), Western Blot | |
Unconjugated | |
CALCOCO2 | |
2410154J16Rik; antigen nuclear dot 52 kDa protein; C77254; calcium binding and coiled-coil domain 2; calcium-binding and coiled-coil domain-containing protein 2; CALCOCO2; Ndp52; Ndp52l1; nuclear domain 10 protein 52; nuclear domain 10 protein 52 like 1; nuclear domain 10 protein NDP52; Nuclear dot protein 52; RGD1559974 | |
Rabbit | |
Antigen affinity chromatography | |
RUO | |
10241 | |
Store at 4°C short term. For long term storage, store at -20°C, avoiding freeze/thaw cycles. | |
Liquid |
Safety and Handling
WARNING: Cancer - www.P65Warnings.ca.gov
Product Content Correction
Your input is important to us. Please complete this form to provide feedback related to the content on this product.
Product Title
Spot an opportunity for improvement?Share a Content Correction