Promotional price valid on web orders only. Your contract pricing may differ. Interested in signing up for a dedicated account number?
Learn More
Learn More
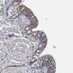
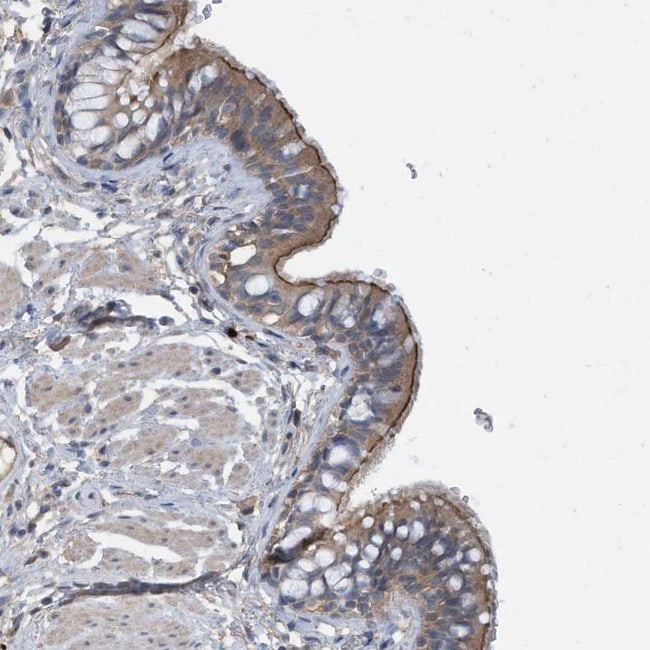
Invitrogen™ Calpain 13 Polyclonal Antibody

Rabbit Polyclonal Antibody
Supplier: Invitrogen™ PA556318
Description
Immunogen sequence: ISRELLHLVT LRYSDSVGRV SFPSLVCFLM RLEAMAKTFR NLSKDGKGLY LTEMEWMSLV MYN Highest antigen sequence identity to the following orthologs: Mouse - 79%, Rat - 78%.
The calpains including Calpain 1 (CAPN1), calcium-activated neutral proteases, are nonlysosomal, intracellular cysteine proteases. The mammalian calpains include ubiquitous, stomach-specific, and muscle-specific proteins. The ubiquitous enzymes consist of heterodimers with distinct large, catalytic subunits associated with a common small, regulatory subunit. This gene encodes the large subunit of the ubiquitous enzyme, calpain 1. Several transcript variants encoding two different isoforms have been found for this gene. Diseases associated with CAPN1 include Spastic Paraplegia 76, Autosomal Recessive and Spasticity.
Specifications
| Calpain 13 | |
| Polyclonal | |
| Unconjugated | |
| CAPN13 | |
| Calcium-activated neutral proteinase 13; calpain 13; calpain-13; CANP 13; CAPN13 | |
| Rabbit | |
| Antigen Affinity Chromatography | |
| RUO | |
| 92291 | |
| Store at 4°C short term. For long term storage, store at -20°C, avoiding freeze/thaw cycles. | |
| Liquid |
| Immunohistochemistry (Paraffin) | |
| 0.1 mg/mL | |
| PBS with 40% glycerol and 0.02% sodium azide; pH 7.2 | |
| Q6MZZ7 | |
| CAPN13 | |
| Recombinant protein corresponding to Human Calpain 13. Recombinant protein control fragment (Product #RP-91753). | |
| 100 μL | |
| Primary | |
| Human | |
| Antibody | |
| IgG |
Product Content Correction
Your input is important to us. Please complete this form to provide feedback related to the content on this product.
Product Title
Spot an opportunity for improvement?Share a Content Correction