Promotional price valid on web orders only. Your contract pricing may differ. Interested in signing up for a dedicated account number?
Learn More
Learn More
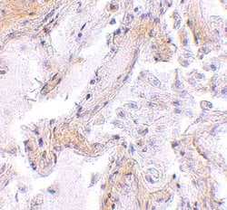
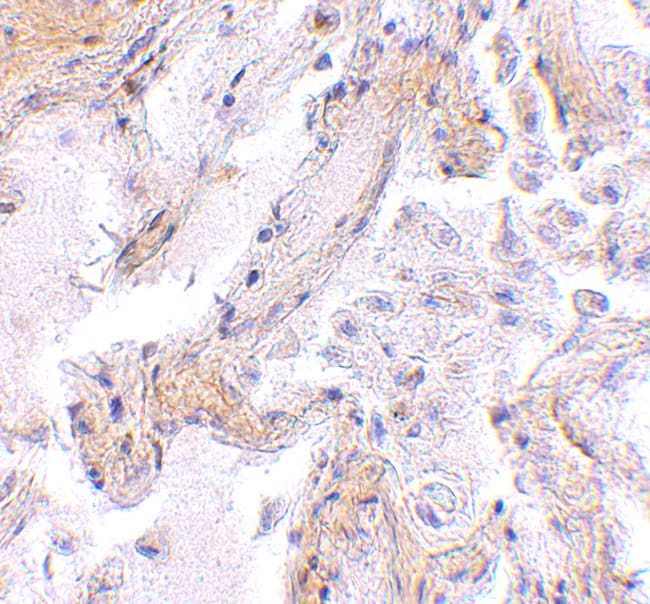
Invitrogen™ Calpain 6 Polyclonal Antibody

Rabbit Polyclonal Antibody
Supplier: Invitrogen™ PA520592
Description
A suggested positive control is rat lung tissue lysate. PA5-20592 can be used with blocking peptide PEP-0712.
Calpain-6, also known as calpamodulin or calpain-X, is an intracellular, calcium-dependent cysteine protease. Calpain-6 has a much more tissue-specific expression in adults than the ubiquitous calpain-1 and calpain-2, and has thus far been found primarily in the placenta, although it is expressed embryonically in a number of tissues. The classical calpain family members consist of a common small subunit (calpain-4), and a large variable subunit, but it is not known if calpain-6 associates with a small subunit. Domains in the large subunit include the amino terminal domain-I, the proteinase domain-II, domain-III, and the EF-hand domain-IV (domain T in calpains 5 and 6). Located on the X chromosome, the calpain-6 sequence lacks the EF hand calcium-binding motif found in domain-IV of the classical calpains. In addition, the canonical active site Cys, His and Asn are modified to Lys, His, Asn in human and Lys, Tyr, Asn in mouse calpain-6, making it unlikely that calpain-6 is proteolytically active.
Specifications
| Calpain 6 | |
| Polyclonal | |
| Unconjugated | |
| CAPN6 | |
| calpain 6; calpain-6; Calpain-like protease X-linked; calpamodulin; CalpM; CANPX; Capa6; CAPN6; CAPNX; DJ914P14.1 | |
| Rabbit | |
| Protein A | |
| RUO | |
| 12338, 827, 83685 | |
| Maintain refrigerated at 2-8°C for up to 3 months. For long term storage store at -20°C | |
| Liquid |
| Immunohistochemistry, Western Blot, Immunocytochemistry | |
| 1 mg/mL | |
| PBS with 0.02% sodium azide | |
| O35646, O88501, Q9Y6Q1 | |
| CAPN6 | |
| An 18 amino acid peptide from near the carboxy terminus of human CAPN6. | |
| 100 μg | |
| Primary | |
| Human, Mouse, Rat | |
| Antibody | |
| IgG |
Safety and Handling
WARNING: Cancer - www.P65Warnings.ca.gov
Product Content Correction
Your input is important to us. Please complete this form to provide feedback related to the content on this product.
Product Title
Spot an opportunity for improvement?Share a Content Correction