Promotional price valid on web orders only. Your contract pricing may differ. Interested in signing up for a dedicated account number?
Learn More
Learn More
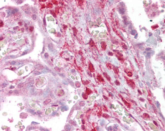
Invitrogen™ Calponin 2 Polyclonal Antibody

Goat Polyclonal Antibody
Supplier: Invitrogen™ PA519185
Description
This antibody is tested in Peptide ELISA: antibody detection limit dilution 32,000.
The protein encoded by this gene, which can bind actin, calmodulin, troponin C, and tropomyosin, may function in the structural organization of actin filaments. The encoded protein could play a role in smooth muscle contraction and cell adhesion. Two transcript variants encoding different isoforms have been found for this gene.
Specifications
| Calponin 2 | |
| Polyclonal | |
| Unconjugated | |
| Cnn2 | |
| AA408047; AI324678; Calpo2; calponin 2; calponin H2, smooth muscle; Calponin-2; CLP2; CNN2; h2-calponin; LOW QUALITY PROTEIN: calponin-2; neutral calponin | |
| Goat | |
| Ammonium sulfate precipitation | |
| RUO | |
| 1265 | |
| -20°C, Avoid Freeze/Thaw Cycles | |
| Liquid |
| Immunohistochemistry (Paraffin), Western Blot | |
| 0.5 mg/mL | |
| TBS with 0.5% BSA and 0.02% sodium azide; pH 7.3 | |
| Q99439 | |
| Cnn2 | |
| Synthetic peptide sequence (DPGEVPEYPPYYQEE) corresponding to the internal amino acids of CNN2 (aa 292-307). | |
| 100 μg | |
| Primary | |
| Human | |
| Antibody | |
| IgG |
Product Content Correction
Your input is important to us. Please complete this form to provide feedback related to the content on this product.
Product Title
Spot an opportunity for improvement?Share a Content Correction