Promotional price valid on web orders only. Your contract pricing may differ. Interested in signing up for a dedicated account number?
Learn More
Learn More
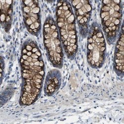
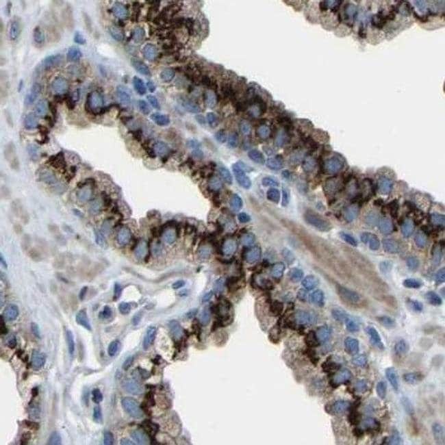
Invitrogen™ CANT1 Polyclonal Antibody

Rabbit Polyclonal Antibody
Supplier: Invitrogen™ PA554040
Description
Immunogen sequence: QEENTWFSYL KKGYLTLSDS GDKVAVEWDK DHGVLESHLA EKGRGMELSD LIVFNGKLYS VDDRTGVVYQ IEGSKAVPWV ILSDGDGTVE KGFKAEWLAV K Highest antigen sequence identity to the following orthologs: Mouse - 96%, Rat - 94%.
This protein encoded by this gene belongs to the apyrase family. It functions as a calcium-dependent nucleotidase with a preference for UDP. Mutations in this gene are associated with Desbuquois dysplasia with hand anomalies.
Specifications
| CANT1 | |
| Polyclonal | |
| Unconjugated | |
| CANT1 | |
| 5830420C20Rik; Apy1h; apyrase 1, homolog (C. lectularius); apyrase homolog; Ca2+-dependent endoplasmic reticulum nucleoside diphosphatase; calcium activated nucleotidase 1; Cant1; D11Bwg0554e; DBQD; DBQD1; EC 3.6.1.6; ectonucleoside triphosphate diphosphohydrolase 8; Entpd8; galectin-3-binding protein; soluble calcium-activated nucleotidase 1; lectin, galactoside-binding, soluble, 3 binding protein; LGALS3BP; micromelic dwarfism with vertebral and metaphyseal abnormalities and advanced carpotarsal ossification; putative MAPK-activating protein PM09; Putative NF-kappa-B-activating protein 107; SCAN1; SCAN-1; SHAPY; soluble Ca-activated nucleotidase, isozyme 1; soluble calcium-activated nucleotidase 1; soluble calcium-activated nucleotidase SCAN-1; srapy | |
| Rabbit | |
| Antigen affinity chromatography | |
| RUO | |
| 124583 | |
| Store at 4°C short term. For long term storage, store at -20°C, avoiding freeze/thaw cycles. | |
| Liquid |
| Immunohistochemistry (Paraffin), Western Blot | |
| 0.2 mg/mL | |
| PBS with 40% glycerol and 0.02% sodium azide; pH 7.2 | |
| Q8WVQ1 | |
| CANT1 | |
| Recombinant protein corresponding to Human CANT1. Recombinant protein control fragment (Product #RP-92532). | |
| 100 μL | |
| Primary | |
| Human | |
| Antibody | |
| IgG |
Safety and Handling
WARNING: Cancer - www.P65Warnings.ca.gov
Product Content Correction
Your input is important to us. Please complete this form to provide feedback related to the content on this product.
Product Title
Spot an opportunity for improvement?Share a Content Correction