Learn More
Invitrogen™ CAR Polyclonal Antibody

Description
This product is preservative free. It is recommended to add sodium azide to avoid contamination (final concentration 0.05%-0.1%). This antibody has specificity for Human CXADR/CAR.
Specifications
Specifications
| Antigen | CAR |
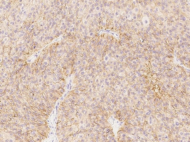
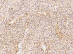
| Applications | ELISA, Immunohistochemistry (Paraffin), Immunocytochemistry |
| Classification | Polyclonal |
| Concentration | 1 mg/mL |
| Conjugate | Unconjugated |
| Formulation | PBS with no preservative |
| Gene | CXADR |
| Gene Accession No. | P78310 |
| Gene Alias | 2610206D03Rik; 46 kD coxsackievirus and adenovirus receptor (CAR) protein; AU016810; AW553441; CAR; Car1; CAR4/6; coxsackie virus and adenovirus receptor; coxsackievirus and adenovirus receptor; Coxsackievirus and adenovirus receptor homolog; coxsackievirus B-adenovirus receptor; CVB3-binding protein; Cxadr; HCAR; HCVADR; MCAR; MCVADR; rCAR |
| Gene Symbols | CXADR |
| Show More |
Safety and Handling
By clicking Submit, you acknowledge that you may be contacted by Fisher Scientific in regards to the feedback you have provided in this form. We will not share your information for any other purposes. All contact information provided shall also be maintained in accordance with our Privacy Policy.