Promotional price valid on web orders only. Your contract pricing may differ. Interested in signing up for a dedicated account number?
Learn More
Learn More
Invitrogen™ Carabin Polyclonal Antibody

Rabbit Polyclonal Antibody
Supplier: Invitrogen™ PA520395
Description
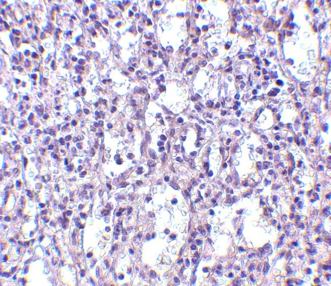
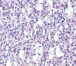
A suggested positive control is human spleen tissue lysate. PA5-20395 can be used with blocking peptide PEP-0512.
Carabin is an endogenous inhibitor of calcineurin (see MIM 114105) that also inhibits the Ras (see MIM 190020) signaling pathway through its intrinsic Ras GTPase-activating protein activity (Pan et al., 2007 [PubMed 17230191]).
Specifications
| Carabin | |
| Polyclonal | |
| Unconjugated | |
| TBC1D10C | |
| 1810062O14Rik; AI428527; CARABIN; EBP50-PDZ interactor of 64 kD; EPI64C; TBC1 domain family member 10C; TBC1 domain family, member 10c; TBC1D10C | |
| Rabbit | |
| Antigen affinity chromatography | |
| RUO | |
| 108995, 374403 | |
| Maintain refrigerated at 2°C to 8°C for up to 3 months. For long term storage store at -20°C | |
| Liquid |
| Immunohistochemistry, Western Blot | |
| 1 mg/mL | |
| PBS with 0.02% sodium azide | |
| Q8C9V1, Q8IV04 | |
| TBC1D10C | |
| A 17 amino acid peptide from near the amino terminus of human Carabin. | |
| 100 μg | |
| Primary | |
| Human, Mouse | |
| Antibody | |
| IgG |
Product Content Correction
Your input is important to us. Please complete this form to provide feedback related to the content on this product.
Product Title
Spot an opportunity for improvement?Share a Content Correction