Promotional price valid on web orders only. Your contract pricing may differ. Interested in signing up for a dedicated account number?
Learn More
Learn More
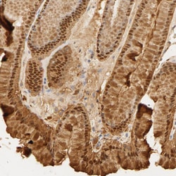
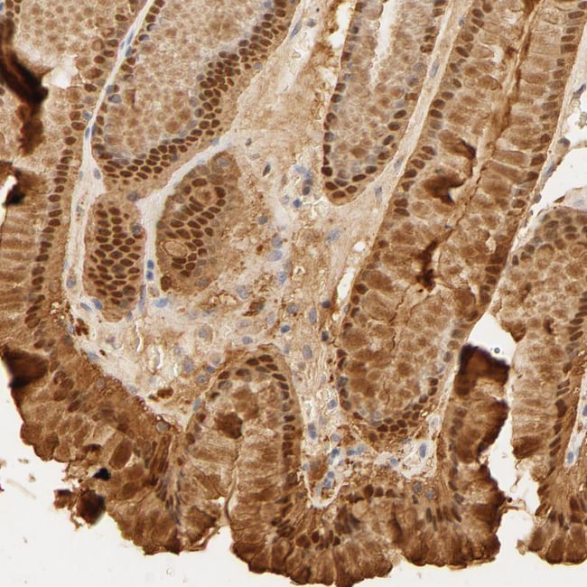
Invitrogen™ Carbonic Anhydrase II Polyclonal Antibody

Rabbit Polyclonal Antibody
Supplier: Invitrogen™ PA551598
Description
Immunogen sequence: YGKHNGPEHW HKDFPIAKGE RQSPVDIDTH TAKYDPSLKP LSVSYDQATS LRILNNGHAF NVEFDDSQDK AVLKGGPLDG TYRLIQFHFH WGSLDGQGSE HTVDKKKYAA ELHLVHWNTK YGDFGKAVQQ PDGLAVLG Highest antigen sequence identity to the following orthologs: Mouse - 83%, Rat - 80%.
CA2 is one of several (at least 7) isozymes of carbonic anhydrase. Carbonic anhydrase catalyzes reversible hydration of carbon dioxide. Defects in this enzyme are associated with osteopetrosis and renal tubular acidosis.
Specifications
Carbonic Anhydrase II | |
Polyclonal | |
Unconjugated | |
CA2 | |
AI131712; CA II; CA2; CAC; CAII; CA-II; Car2; Car-2; Carbonate dehydratase II; carbonic anhydrase 2; carbonic anhydrase B; carbonic anhydrase C; Carbonic anhydrase II; carbonic dehydratase; epididymis luminal protein 76; epididymis secretory protein Li 282; HEL-76; HEL-S-282; Ltw-5; Lvtw-5 | |
Rabbit | |
Antigen Affinity Chromatography | |
RUO | |
12349, 54231, 760 | |
Store at 4°C short term. For long term storage, store at -20°C, avoiding freeze/thaw cycles. | |
Liquid |
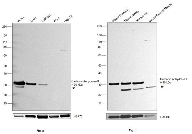
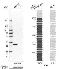
Immunohistochemistry (Paraffin), Western Blot, Immunocytochemistry | |
0.1 mg/mL | |
PBS with 40% glycerol and 0.02% sodium azide; pH 7.2 | |
P00918, P00920, P27139 | |
CA2, Car2 | |
Recombinant protein corresponding to Human Carbonic Anhydrase II. Recombinant protein control fragment (Product #RP-95151). | |
100 μL | |
Primary | |
Human, Mouse, Rat | |
Antibody | |
IgG |
Product Content Correction
Your input is important to us. Please complete this form to provide feedback related to the content on this product.
Product Title
Spot an opportunity for improvement?Share a Content Correction