Promotional price valid on web orders only. Your contract pricing may differ. Interested in signing up for a dedicated account number?
Learn More
Learn More
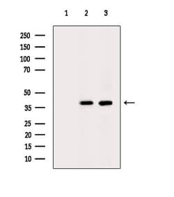
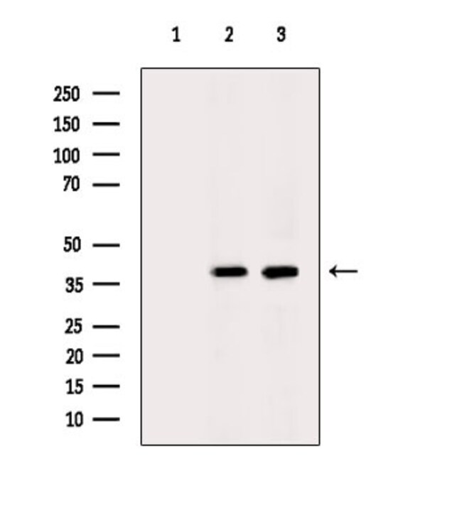
Invitrogen™ Carboxypeptidase B2 Polyclonal Antibody

Rabbit Polyclonal Antibody
Supplier: Invitrogen™ PA5101496
Description
Antibody detects endogenous levels of total CPB2.
Carboxypeptidases are enzymes that hydrolyze C-terminal peptide bonds. The carboxypeptidase family includes metallo-, serine, and cysteine carboxypeptidases. According to their substrate specificity, these enzymes are referred to as carboxypeptidase A (cleaving aliphatic residues) or carboxypeptidase B (cleaving basic amino residues). CPB2 is activated by trypsin and acts on carboxypeptidase B substrates. After thrombin activation, the mature protein downregulates fibrinolysis. Polymorphisms have been described for its gene and its promoter region.
Specifications
Carboxypeptidase B2 | |
Polyclonal | |
Unconjugated | |
CPB2 | |
1110032P04Rik; 4930405E17Rik; AI255929; carboxypeptidase B2; carboxypeptidase B2 (plasma); carboxypeptidase B2 (plasma, carboxypeptidase U); carboxypeptidase B-like protein; carboxypeptidase R; Carboxypeptidase U; Cpb2; CPR; CPU; pCPB; Plasma carboxypeptidase B; Tafi; thrombin-activable fibrinolysis inhibitor; thrombin-activatable fibrinolysis inhibitor | |
Rabbit | |
Affinity Chromatography | |
RUO | |
1361 | |
-20°C | |
Liquid |
Western Blot, Immunocytochemistry | |
1 mg/mL | |
PBS with 50% glycerol and 0.02% sodium azide; pH 7.4 | |
Q96IY4 | |
CPB2 | |
A synthesized peptide derived from human CPB2(Accession Q96IY4), corresponding to amino acid residues N256-Y306. | |
100 μL | |
Primary | |
Human | |
Antibody | |
IgG |
Safety and Handling
WARNING: Cancer - www.P65Warnings.ca.gov
Product Content Correction
Your input is important to us. Please complete this form to provide feedback related to the content on this product.
Product Title
Spot an opportunity for improvement?Share a Content Correction