Promotional price valid on web orders only. Your contract pricing may differ. Interested in signing up for a dedicated account number?
Learn More
Learn More
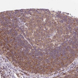
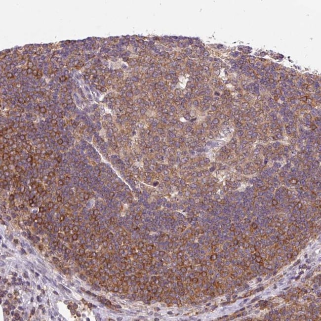
Invitrogen™ CARD11 Polyclonal Antibody

Rabbit Polyclonal Antibody
Supplier: Invitrogen™ PA5111366
Description
Immunogen sequence: ELEEKNDEMR IEMVRREACI VNLESKLRRL SKDSNNLDQS LPRNLPVTII SQDFGDASPR TNGQEADDSS TSEESPEDSK YFLPYHP.
The protein encoded by this gene belongs to the membrane-associated guanylate kinase (MAGUK) family, a class of proteins that functions as molecular scaffolds for the assembly of multiprotein complexes at specialized regions of the plasma membrane. This protein is also a member of the CARD protein family, which is defined by carrying a characteristic caspase-associated recruitment domain (CARD). This protein has a domain structure similar to that of CARD14 protein. The CARD domains of both proteins have been shown to specifically interact with BCL10, a protein known to function as a positive regulator of cell apoptosis and NF-kappaB activation. When expressed in cells, this protein activated NF-kappaB and induced the phosphorylation of BCL10.
Specifications
| CARD11 | |
| Polyclonal | |
| PBS with 40% glycerol and 0.02% sodium azide; pH 7.2 | |
| Q9BXL7 | |
| CARD11 | |
| Recombinant Protein corresonding to Human CARD11. Recombinant protein control fragment (Product #RP-101598). | |
| 100 μL | |
| Primary | |
| Human | |
| Antibody | |
| IgG |
| Immunohistochemistry (Paraffin), Western Blot | |
| Unconjugated | |
| CARD11 | |
| 0610008L17Rik; 2410011D02Rik; bcl10-interacting maguk protein 3; BENTA; BIMP3; Card11; CARD-containing MAGUK protein 1; Carma 1; CARMA1; caspase recruitment domain family member 11; caspase recruitment domain family, member 11; caspase recruitment domain-containing protein 11; IMD11; LOC100363332; MGC133069; PPBL | |
| Rabbit | |
| Antigen Affinity Chromatography | |
| RUO | |
| 84433 | |
| Store at 4°C short term. For long term storage, store at -20°C, avoiding freeze/thaw cycles. | |
| Liquid |
Safety and Handling
WARNING: Cancer - www.P65Warnings.ca.gov
Product Content Correction
Your input is important to us. Please complete this form to provide feedback related to the content on this product.
Product Title
Spot an opportunity for improvement?Share a Content Correction