Learn More
Invitrogen™ Caspase 4 Polyclonal Antibody

Rabbit Polyclonal Antibody
Supplier: Invitrogen™ PA5120670
Description
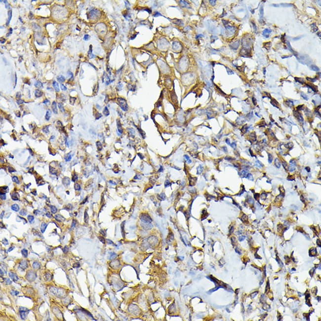
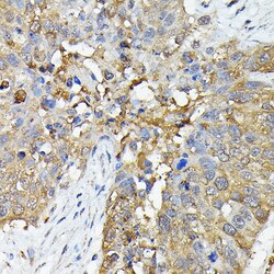
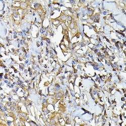
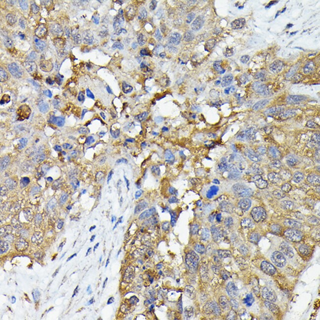
Positive test controls include: SW620. Immunogen sequence: QISPNKKAHP NMEAGPPESG ESTDALKLCP HEEFLRLCKE RAEEIYPIKE RNNRTRLALI ICNTEFDHLP PRNGADFDIT GMKELLEGLD YSVDVEENLT ARDMESALRA FATRPEHKSS DSTFLVLMSH GILEGICGTV HDEKKPDVLL YDTIFQIFNN RNCLSLKDKP KVIIVQACRG ANRGELWVRD.
This gene encodes a protein that is a member of the cysteine-aspartic acid protease (caspase) family. Sequential activation of caspases plays a central role in the execution-phase of cell apoptosis. Caspases exist as inactive proenzymes composed of a prodomain and a large and small protease subunit. Activation of caspases requires proteolytic processing at conserved internal aspartic residues to generate a heterodimeric enzyme consisting of the large and small subunits. This caspase is able to cleave and activate its own precursor protein, as well as caspase 1 precursor. When overexpressed, this gene induces cell apoptosis. Alternative splicing results in transcript variants encoding distinct isoforms.
Specifications
| Caspase 4 | |
| Polyclonal | |
| Unconjugated | |
| CASP4 | |
| apoptotic cysteine protease Mih1/TX; Casp11; CASP-11; CASP4; CASP-4; caspase 11; caspase 4; caspase 4, apoptosis-related cysteine peptidase; caspase 4, apoptosis-related cysteine protease; Caspase-11; Caspase-4; Caspase-4 subunit 1; Caspase-4 subunit 2; Caspase-4 subunit p10; Caspase-4 subunit p20; Caspl; ICE and Ced-3 homolog 2; ICE(rel)II; ICE(rel)-II; ICEREL-II; ICH2; ICH-2; Ich3; ich-3; Mih1; Mih1/TX; protease ICH-2; Protease ICH-3; Protease TX; TX | |
| Rabbit | |
| Affinity Chromatography | |
| RUO | |
| 837 | |
| -20°C, Avoid Freeze/Thaw Cycles | |
| Liquid |
| ELISA, Immunohistochemistry (Paraffin), Western Blot | |
| 0.776 mg/mL | |
| PBS with 50% glycerol and 0.02% sodium azide; pH 7.3 | |
| P49662 | |
| CASP4 | |
| A synthetic peptide corresponding to a sequence within amino acids 81-270 of human Caspase-4 (NP_0012161). | |
| 100 μL | |
| Primary | |
| Human | |
| Antibody | |
| IgG |
Your input is important to us. Please complete this form to provide feedback related to the content on this product.