Promotional price valid on web orders only. Your contract pricing may differ. Interested in signing up for a dedicated account number?
Learn More
Learn More
Invitrogen™ Caspase 8 Polyclonal Antibody
Rabbit Polyclonal Antibody
Supplier: Invitrogen™ PA5119006
This item is not returnable.
View return policy
Description
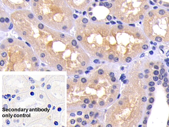
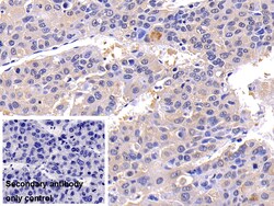
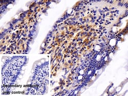
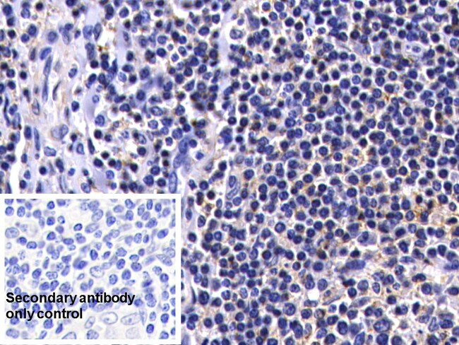
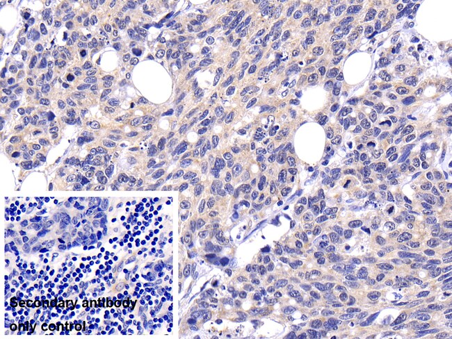
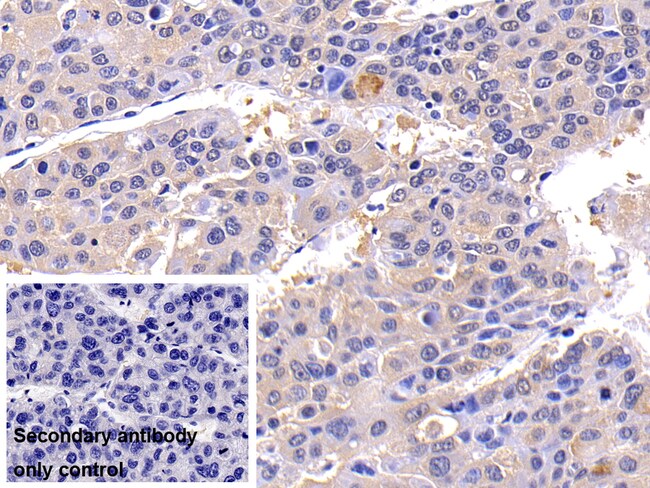
Caspase 8 Polyclonal Antibody for Western Blot, ICC/IF, IHC (P)
Caspase 8 (CASP8) is a member of the cysteine-aspartic acid protease (caspase) family. Sequential activation of caspases play a central role in the execution-phase of cell apoptosis. Caspases exist as inactive proenzymes composed of a pro-domain, a large protease subunit, and a small protease subunit. Activation of caspases requires proteolytic processing at conserved internal aspartic residues to generate a heterodimeric enzyme consisting of the large and small subunits. Caspase 8 is involved in the programmed cell death induced by Fas and various apoptotic stimuli. The N-terminal FADD-like death effector domain of Caspase 8 suggests that it may interact with Fas-interacting protein FADD. Caspase 8 was detected in the insoluble fraction of the affected brain region from Huntington disease patients but not in those from normal controls, which implicated the role in neurodegenerative diseases. Caspase 8 binds to the death effector domain (DED) of FADD through an analogous DED domain present in tandem in the pro-form of the Caspase 8 protein. Activated Caspase 8 then activates other downstream caspases including Caspase 9, thereby committing the cell to undergo apoptosis. In addition, Caspase 8 also reacts with Jurkat cells and Tonsil. Overexpression of Caspase 8 induces apoptosis, which can be blocked by inhibitors specific for the ICE family. Many alternatively spliced transcript variants encoding different isoforms have been described for Caspase 8, however, not all variants have had their full-length sequences determined.
Specifications
Caspase 8 | |
Polyclonal | |
Unconjugated | |
Casp8 | |
ALPS2B; apoptosis-related cysteine peptidase; apoptotic cysteine protease; Apoptotic protease Mch-5; CAP4; CASP8; CASP-8; caspase 8; caspase 8, apoptosis-related cysteine peptidase; caspase 8, apoptosis-related cysteine protease; Caspase8; caspase-8; Caspase-8 precursor; Caspase-8 subunit p10; Caspase-8 subunit p18; EC 3.4.22.61; FADD-homologous ICE/ced-3-like protease; FADD-like ICE; Fas-linked ICE-like protease; FLICE; FLJ17672; ICE8; ICE-like apoptotic protease 5; MACH; MACH-alpha-1/2/3 protein; MACH-beta-1/2/3/4 protein; MCH5; MGC78473; MORT1-associated ced-3 homolog; OTTHUMP00000163720; OTTHUMP00000165063; OTTHUMP00000206557; OTTHUMP00000206581 | |
Rabbit | |
Antigen affinity chromatography, Protein A | |
RUO | |
12370, 595105, 64044, 841 | |
Store at 4°C short term. For long term storage, store at -20°C, avoiding freeze/thaw cycles. | |
Liquid |
Immunohistochemistry (Paraffin), Western Blot, Immunocytochemistry | |
0.5 mg/mL | |
PBS with 50% glycerol and 0.05% ProClin 300; pH 7.4 | |
O89110, Q14790, Q9JHX4 | |
Casp8 | |
Recombinant protein Caspase 8. The antigen corresponds to amino acid range 217-384 of the target protein. | |
200 μL | |
Primary | |
Human, Mouse, Rat, Pig | |
Antibody | |
IgG |
Product Content Correction
Your input is important to us. Please complete this form to provide feedback related to the content on this product.
Product Title
Spot an opportunity for improvement?Share a Content Correction