Promotional price valid on web orders only. Your contract pricing may differ. Interested in signing up for a dedicated account number?
Learn More

CBX3 Rabbit anti-Human, Polyclonal, Bethyl Laboratories

Rabbit Polyclonal Antibody

Supplier:  Bethyl Laboratories, Inc A300984A

Encompass_Preferred

Catalog No. 50-155-8948


May include imposed supplier surcharges.
Only null left
Add to Cart

Description

Description

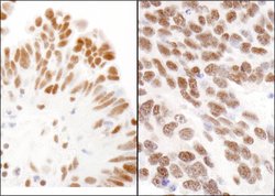
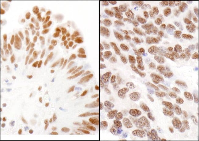
The recommended shelf life for this product is 1 year from date of receipt. Application Note: For IHC, epitope retrieval with citrate buffer pH 6.0 is recommended for FFPE tissue sections. Based on 100% sequence identity, this antibody is predicted to react with Mouse and Orangutan

At the nuclear envelope, the nuclear lamina and heterochromatin are adjacent to the inner nuclear membrane. The protein encoded by this gene binds DNA and is a component of heterochromatin. This protein also can bind lamin B receptor, an integral membrane protein found in the inner nuclear membrane. The dual binding functions of the encoded protein may explain the association of heterochromatin with the inner nuclear membrane. This protein binds histone H3 tails methylated at Lys-9 sites. Two transcript variants encoding the same protein but differing in the 5′ UTR, have been found for this gene.
Specifications

Specifications

CBX3
Polyclonal
Unconjugated
CBX3
chromobox homolog 3, chromobox homolog 3 (Drosophila HP1 gamma), chromobox homolog 3 (HP1 gamma homolog, Drosophila), HECH, heterochromatin protein 1 homolog gamma, heterochromatin protein HP1 gamma, heterochromatin-like protein 1, HP1 gamma, HP1 gamma homolog, HP1 gamma homolog (Drosophila), HP1-GAMMA, HP1Hs-gamma, modifier 2 protein
Rabbit
Antigen affinity chromatography
RUO
11335
4° C
Liquid
Immunohistochemistry, Immunoprecipitation
1 mg/ml
phosphate, tris citrate with 0.09% sodium azide; pH 7-8
Q13185
CBX3
Between 133 and C-term
100 μL
Primary
Human
Antibody
IgG
Product Suggestions

Product Suggestions

Videos
SDS
Documents

Documents

Product Certifications
Promotions

Promotions

Product Content Correction

The Fisher Scientific Encompass Program offers items which are not part of our distribution portfolio. These products typically do not have pictures or detailed descriptions. However, we are committed to improving your shopping experience. Please use the form below to provide feedback related to the content on this product.

Product Title

By clicking Submit, you acknowledge that you may be contacted by Fisher Scientific in regards to the feedback you have provided in this form. We will not share your information for any other purposes. All contact information provided shall also be maintained in accordance with our Privacy Policy.

Your feedback has been submitted: Thank you for helping us improve our website.