Promotional price valid on web orders only. Your contract pricing may differ. Interested in signing up for a dedicated account number?
Learn More
Learn More
Invitrogen™ CC2D1A Polyclonal Antibody

Rabbit Polyclonal Antibody
Supplier: Invitrogen™ PA5109484
Description
Immunogen sequence: MHKRKGPPGP PGRGAAAARQ LGLLVDLSPD GLMIPEDGAN DEELEAEFLA LVGGQPPALE KLKGKGPLPM EAIEKMASLC MRDPDEDEEE GTDEDDLEAD DDLLAELNEV LGEEQKASET PPPVAQPKPE APHPGLETTL QERLALYQTA.
This gene encodes a transcriptional repressor that binds to a conserved 14-bp 5'-repressor element and regulates expression of the 5-hydroxytryptamine (serotonin) receptor 1A gene in neuronal cells. The DNA binding and transcriptional repressor activities of the protein are inhibited by calcium. A mutation in this gene results in nonsyndromic mental retardation-3.
Specifications
| CC2D1A | |
| Polyclonal | |
| Unconjugated | |
| CC2D1A | |
| 5-HT1A receptor; AKI1; Akt kinase-interacting protein 1; BC016188; CC2D1A; coiled-coil and C2 domain containing 1A; coiled-coil and C2 domain-containing protein 1A; Five prime repressor element under dual repression-binding protein 1; five' repressor element under dual repression binding protein 1; five repressor element under dual repression-binding protein 1; FLJ20241; FRE under dual repression-binding protein 1; Freud-1; Freud-1/Aki1; mental retardation, nonsyndromic, autosomal recessive, 3; MRT3; Putative NF-kappa-B-activating protein 023N; putative NFkB activating protein; RGD1306108; Tape | |
| Rabbit | |
| Affinity Chromatography | |
| RUO | |
| 212139, 288908, 54862 | |
| -20°C, Avoid Freeze/Thaw Cycles | |
| Liquid |
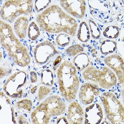
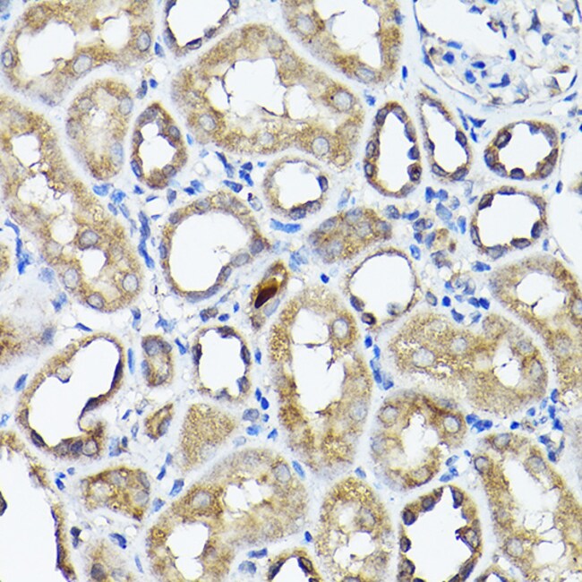
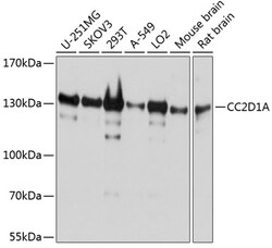
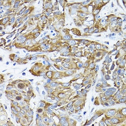
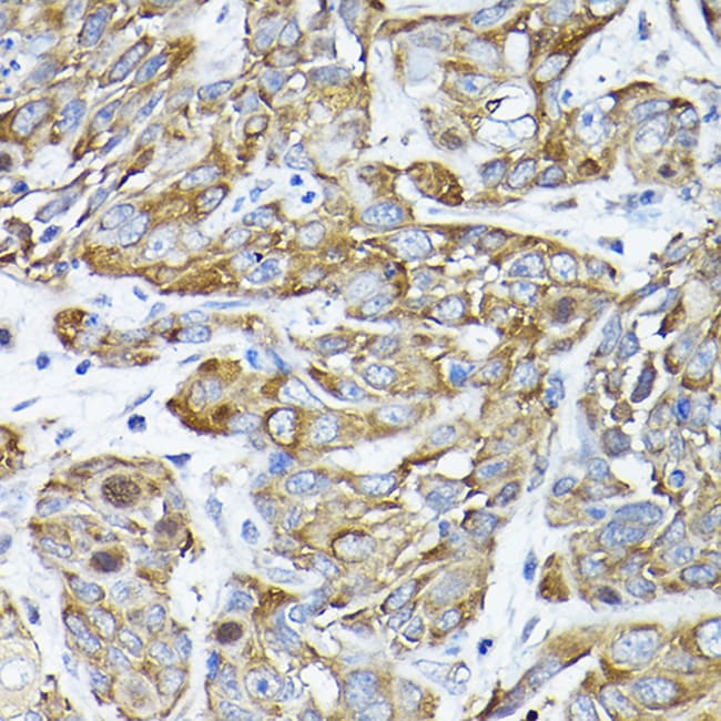
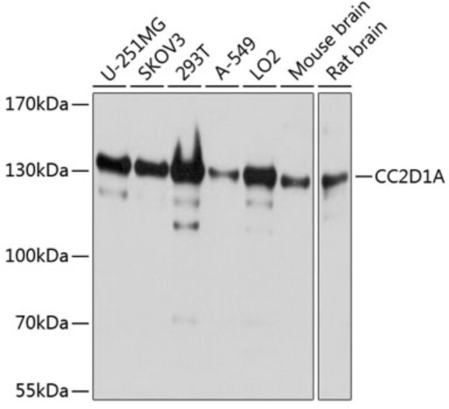
| ELISA, Immunohistochemistry (Paraffin), Western Blot | |
| 0.45 mg/mL | |
| PBS with 50% glycerol and 0.01% thimerosal; pH 7.3 | |
| Q66HA5, Q6P1N0, Q8K1A6 | |
| CC2D1A | |
| Recombinant fusion protein containing a sequence corresponding to amino acids 1-150 of human CC2D1A (NP_060191.3). | |
| 100 μL | |
| Primary | |
| Human, Mouse, Rat | |
| Antibody | |
| IgG |
Product Content Correction
Your input is important to us. Please complete this form to provide feedback related to the content on this product.
Product Title
Spot an opportunity for improvement?Share a Content Correction