Learn More
Invitrogen™ CC2D1A Recombinant Rabbit Monoclonal Antibody (JE55-34)

Description
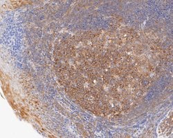
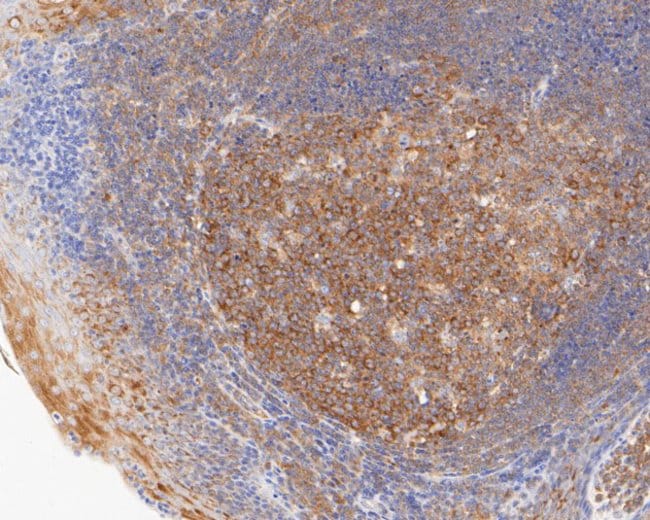
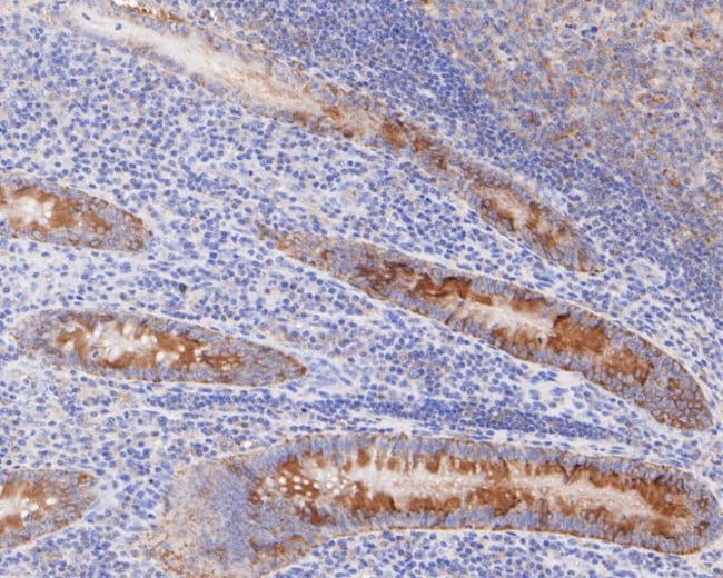
Positive Control: MCF-7 cell lysate, A431 cell lysate, PC-12 cell lysate, human appendix tissue, human tonsil tissue, MCF-7. Subcellular Location: Centrosome, Nucleus, Cytoplasm.
Specifications
Specifications
| Antigen | CC2D1A |
| Applications | Flow Cytometry, Immunohistochemistry (Paraffin), Western Blot |
| Classification | Recombinant Monoclonal |
| Clone | JE55-34 |
| Concentration | 1 mg/mL |
| Conjugate | Unconjugated |
| Formulation | TBS with 40% glycerol and 0.05% sodium azide; pH 7.4 |
| Gene | CC2D1A |
| Gene Accession No. | Q66HA5, Q6P1N0 |
| Gene Alias | 5-HT1A receptor; AKI1; Akt kinase-interacting protein 1; BC016188; CC2D1A; coiled-coil and C2 domain containing 1A; coiled-coil and C2 domain-containing protein 1A; Five prime repressor element under dual repression-binding protein 1; five' repressor element under dual repression binding protein 1; five repressor element under dual repression-binding protein 1; FLJ20241; FRE under dual repression-binding protein 1; Freud-1; Freud-1/Aki1; mental retardation, nonsyndromic, autosomal recessive, 3; MRT3; Putative NF-kappa-B-activating protein 023N; putative NFkB activating protein; RGD1306108; Tape |
| Show More |
Safety and Handling
By clicking Submit, you acknowledge that you may be contacted by Fisher Scientific in regards to the feedback you have provided in this form. We will not share your information for any other purposes. All contact information provided shall also be maintained in accordance with our Privacy Policy.