Learn More
CCAR1 Rabbit anti-Human, Mouse, Polyclonal, Bethyl Laboratories
Rabbit Polyclonal Antibody
Supplier: Bethyl Laboratories, Inc A300435A

Description
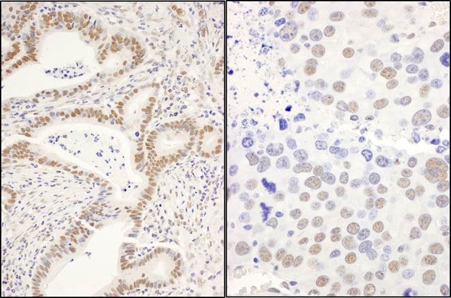
The recommended shelf life for this product is 1 year from date of receipt. Application Note: For IHC, epitope retrieval with citrate buffer pH 6.0 is recommended for FFPE tissue sections.
Associates with components of the Mediator and p160 coactivator complexes that play a role as intermediaries transducing regulatory signals from upstream transcriptional activator proteins to basal transcription machinery at the core promoter. Recruited to endogenous nuclear receptor target genes in response to the appropriate hormone. Also functions as a p53 coactivator. May thus play an important role in transcriptional regulation. May be involved in apoptosis signaling in the presence of the reinoid CD437. Apoptosis induction involves sequestration of 14-3-3 protein(s) and mediated altered expression of multiple cell cycle regulatory genes including MYC, CCNB1 and CDKN1A. Plays a role in cell cycle progression and/or cell proliferation (PubMed:12816952). In association with CALCOCO1 enhances GATA1- and MED1-mediated transcriptional activation from the gamma-globin promoter during erythroid differentiation of K562 erythroleukemia cells (PubMed:24245781). Can act as a both a coactivator and corepressor of AR-mediated transcription. Contributes to chromatin looping and AR transcription complex assembly by stabilizing AR-GATA2 association on chromatin and facilitating MED1 and RNA polymerase II recruitment to AR-binding sites. May play an important role in the growth and tumorigenesis of prostate cancer cells (PubMed:23887938).Specifications
CCAR1 | |
Polyclonal | |
Unconjugated | |
CCAR1 | |
CCAR1; cell division cycle and apoptosis regulator 1; CARP-1; CARP1; MGC44628; RP11-437A18.1; OTTHUMP00000019709; cell-cycle and apoptosis regulatory protein 1 | |
Rabbit | |
Antigen affinity chromatography | |
RUO | |
55749, 67500 | |
4° C | |
Liquid |
Immunohistochemistry, Immunoprecipitation, Western Blot | |
1 mg/ml | |
phosphate, tris citrate with 0.09% sodium azide; pH 7-8 | |
Q8CH18, Q8IX12 | |
Ccar1 | |
Between 1 and 50 | |
100 μL | |
Primary | |
Human, Mouse | |
Antibody | |
IgG |
The Fisher Scientific Encompass Program offers items which are not part of our distribution portfolio. These products typically do not have pictures or detailed descriptions. However, we are committed to improving your shopping experience. Please use the form below to provide feedback related to the content on this product.