Promotional price valid on web orders only. Your contract pricing may differ. Interested in signing up for a dedicated account number?
Learn More
Learn More
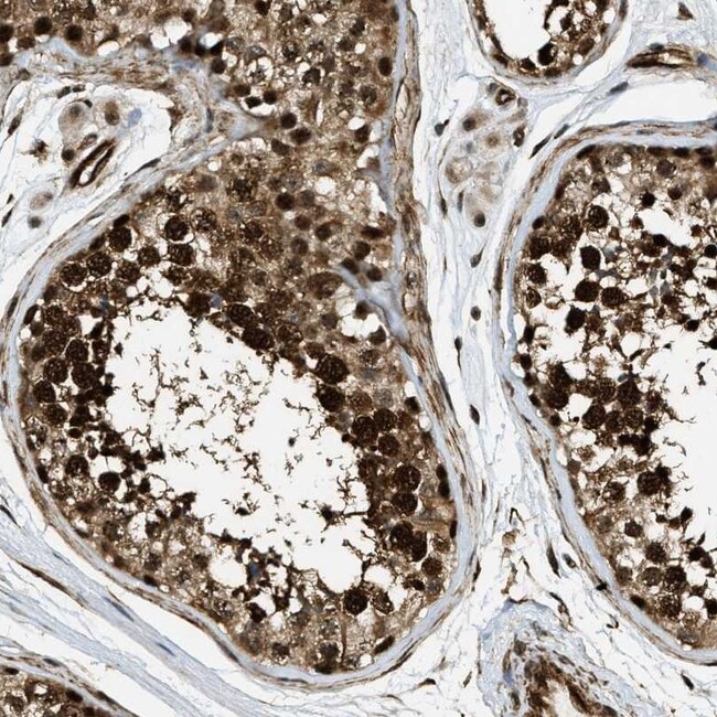
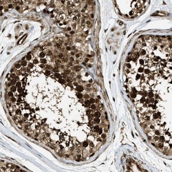
Invitrogen™ CCDC104 Polyclonal Antibody

Rabbit Polyclonal Antibody
Supplier: Invitrogen™ PA553541
Description
Immunogen sequence: DEEESKLTYT EIHQEYKELV EKLLEGYLKE IGINEDQFQE ACTSPLAKTH TSQAILQPVL AAEDFTIFKA MMVQKNIEMQ LQAIRIIQER NGVLPDCLTD GSDVVSDLEH EEMKILREVL RKSKEEYDQE EERKRK Highest antigen sequence identity to the following orthologs: Mouse - 97%, Rat - 97%.
The CCDC104 (Coiled-coil domain-containing protein 104) protein, whose function is unknown, is expressed in various human tissues, including the brain, and is localized mainly to the nucleus, but is also found in the cytoplasm. It may act as an effector for ARL3. This protein has 2 isoforms produced by alternative splicing.
Specifications
CCDC104 | |
Polyclonal | |
Unconjugated | |
CFAP36 | |
2300003H10; 4931428D14Rik; BARTL1; CCDC104; CFAP36; cilia and flagella associated protein 36; cilia- and flagella-associated protein 36; coiled-coil domain containing 104; coiled-coil domain-containing protein 104; RGD1311732; UNQ163/PRO189 | |
Rabbit | |
Antigen affinity chromatography | |
RUO | |
112942 | |
Store at 4°C short term. For long term storage, store at -20°C, avoiding freeze/thaw cycles. | |
Liquid |
Immunohistochemistry (Paraffin), Western Blot | |
0.2 mg/mL | |
PBS with 40% glycerol and 0.02% sodium azide; pH 7.2 | |
Q96G28 | |
CFAP36 | |
Recombinant protein corresponding to Human CCDC104. Recombinant protein control fragment (Product #RP-89856). | |
100 μL | |
Primary | |
Human | |
Antibody | |
IgG |
Safety and Handling
WARNING: Cancer - www.P65Warnings.ca.gov
Product Content Correction
Your input is important to us. Please complete this form to provide feedback related to the content on this product.
Product Title
Spot an opportunity for improvement?Share a Content Correction