Learn More
Invitrogen™ CCDC115 Polyclonal Antibody

Rabbit Polyclonal Antibody
Supplier: Invitrogen™ PA5144037
Description
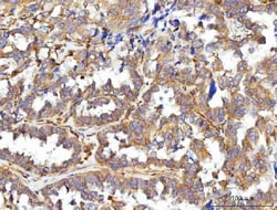
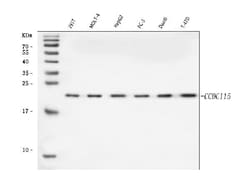
Adding 0.2 mL of distilled water will yield a concentration of 500 μg/mL. Positive Control - WB: human 293T whole cell, human MOLT-4 whole cell, human HepG2 whole cell, human PC-3 whole cell, human Daudi whole cell, human T-47D whole cell. IHC: human laryngeal squamous cell carcinoma tissue, human ovarian cancer tissue. ICC/IF: A431 cell. Flow: U937 cell. Store at -20°C for one year from date of receipt. After reconstitution, at 4°C for one month. It can also be aliquotted and stored frozen at -20°C for six months. Avoid repeated freeze-thaw cycles.
The CCDC115 gene encodes a protein known as coiled-coil domain-containing protein 115, which is involved in cellular processes related to membrane trafficking and Golgi apparatus function. CCDC115 is integral to maintaining Golgi homeostasis and is implicated in the functioning of the vacuolar H+-ATPase (V-ATPase) proton pump, critical for acidifying intracellular compartments. Mutations in CCDC115 have been associated with a genetic condition known as congenital disorder of glycosylation type IIo (CDG-IIo), which leads to defects in protein glycosylation. This disorder results in a spectrum of symptoms, including developmental delays, neurological impairments, and multi-systemic dysfunction due to improper glycosylation of proteins, impacting their stability and function. Research indicates that CCDC115's activity in ion transport and vacuolar acidification is essential for Golgi apparatus function and overall cellular homeostasis. Investigations into CCDC115 are crucial for understanding its role in glycosylation-related disorders and for developing potential therapeutic strategies to manage these conditions.
Specifications
| CCDC115 | |
| Polyclonal | |
| Unconjugated | |
| CCDC115 | |
| 2310061I09Rik; Ccdc115; Ccp1; CDG2O; coiled-coil domain containing 115; coiled-coil domain-containing protein 115; Coiled-coil protein 1; RGD1304653 | |
| Rabbit | |
| Antigen affinity chromatography | |
| RUO | |
| 84317 | |
| -20°C | |
| Lyophilized |
| ELISA, Flow Cytometry, Immunohistochemistry (Paraffin), Western Blot, Immunocytochemistry | |
| 500 μg/mL | |
| PBS with 4mg trehalose and no preservative | |
| Q96NT0 | |
| CCDC115 | |
| E.coli-derived human CCDC115 recombinant protein (Position: M1-A180). | |
| 100 μg | |
| Primary | |
| Human | |
| Antibody | |
| IgG |
Your input is important to us. Please complete this form to provide feedback related to the content on this product.