Promotional price valid on web orders only. Your contract pricing may differ. Interested in signing up for a dedicated account number?
Learn More
Learn More
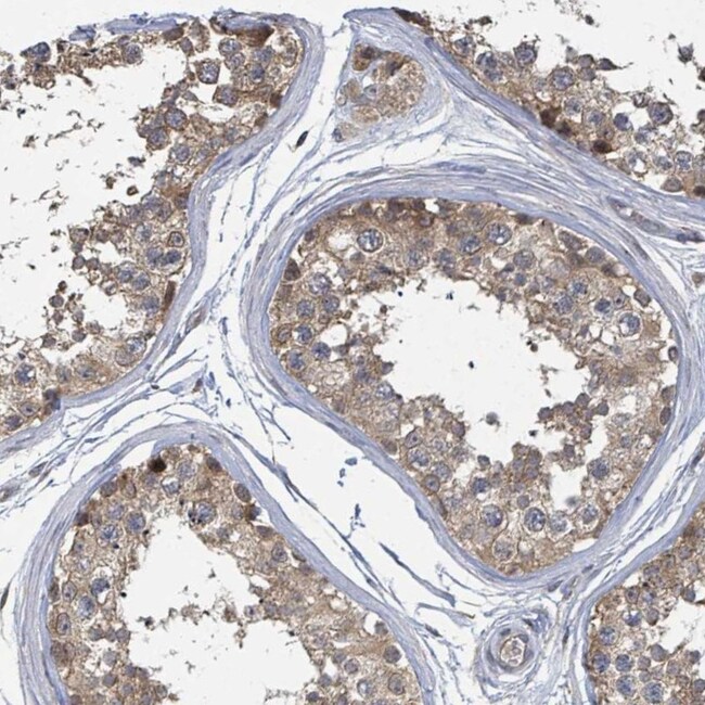
Invitrogen™ CCDC121 Polyclonal Antibody
Rabbit Polyclonal Antibody
Supplier: Invitrogen™ PA562482
Description
Immunogen sequence: LNKHIKQAQT QRKQLLEESR ELHREKLLVQ AENRFFLEYL TNKTEEYTEQ PEKVWNSYLQ KSGEIERRRQ ESASRYAEQI SVLKTALLQK ENIQSSL Highest antigen sequence identity to the following orthologs: Mouse - 43%, Rat - 43%.
The function of this protein remains unknown.
Specifications
CCDC121 | |
Polyclonal | |
Unconjugated | |
CCDC121 | |
CCDC121; coiled-coil domain containing 121; coiled-coil domain-containing protein 121 | |
Rabbit | |
Antigen affinity chromatography | |
RUO | |
79635 | |
Store at 4°C short term. For long term storage, store at -20°C, avoiding freeze/thaw cycles. | |
Liquid |
Immunohistochemistry (Paraffin), Immunocytochemistry | |
0.1 mg/mL | |
PBS with 40% glycerol and 0.02% sodium azide; pH 7.2 | |
Q6ZUS5 | |
CCDC121 | |
Recombinant protein corresponding to Human CCDC121. Recombinant protein control fragment (Product #RP-99720). | |
100 μL | |
Primary | |
Human | |
Antibody | |
IgG |
Product Content Correction
Your input is important to us. Please complete this form to provide feedback related to the content on this product.
Product Title
Spot an opportunity for improvement?Share a Content Correction