Promotional price valid on web orders only. Your contract pricing may differ. Interested in signing up for a dedicated account number?
Learn More
Learn More
Invitrogen™ CCDC37 Polyclonal Antibody

Rabbit Polyclonal Antibody
Supplier: Invitrogen™ PA528492
Description
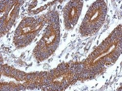
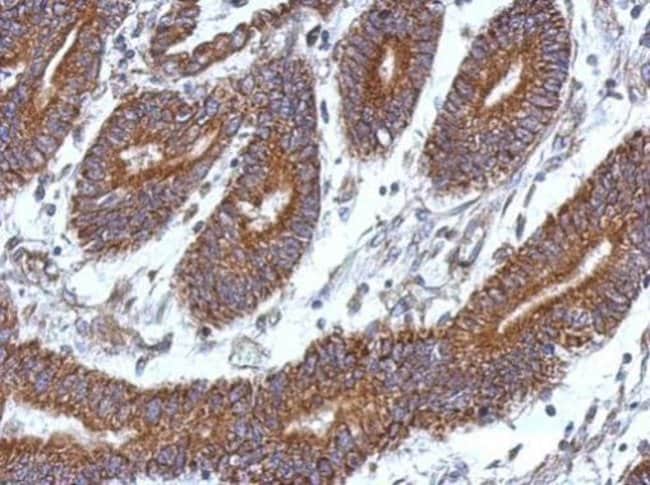
Recommended positive controls: HepG2. Store product as a concentrated solution. Centrifuge briefly prior to opening the vial.
CCDC37 (Coiled-Coil Domain-Containing 37) is a gene that encodes a protein involved in various cellular functions, including cytoskeletal organization, cell motility, and signal transduction. The gene is located on chromosome 9 and plays a crucial role in maintaining cell structure and function. Research has shown that CCDC37 is epigenetically repressed in certain cancers, such as lung tumors associated with chronic obstructive pulmonary disease (COPD). Methylation of the CCDC37 promoter is more prevalent in tumors from COPD patients, suggesting its role in tumor progression and possibly serving as a biomarker for cancer diagnosis and prognosis. Additionally, CCDC37 has been implicated in the regulation of ciliary function, further highlighting its importance in cellular processes. The protein's involvement in both cancer biology and ciliary dynamics underscores its multifaceted roles in health and disease.
Specifications
CCDC37 | |
Polyclonal | |
Unconjugated | |
CFAP100 | |
CCDC37; CFAP100; cilia and flagella associated protein 100; cilia- and flagella-associated protein 100; coiled-coil domain containing 37; coiled-coil domain-containing protein 37; MIA1 | |
Rabbit | |
Antigen affinity chromatography | |
RUO | |
348807 | |
Store at 4°C short term. For long term storage, store at -20°C, avoiding freeze/thaw cycles. | |
Liquid |
Immunohistochemistry (Paraffin), Western Blot | |
1 mg/mL | |
0.1M tris glycine with 20% glycerol and 0.01% thimerosal; pH 7 | |
Q494V2 | |
CFAP100 | |
Recombinant protein encompassing a sequence within the N-terminus region of human CCDC37. The exact sequence is proprietary. | |
100 μL | |
Primary | |
Human | |
Antibody | |
IgG |
Product Content Correction
Your input is important to us. Please complete this form to provide feedback related to the content on this product.
Product Title
Spot an opportunity for improvement?Share a Content Correction