Promotional price valid on web orders only. Your contract pricing may differ. Interested in signing up for a dedicated account number?
Learn More
Learn More
Invitrogen™ CCDC43 Polyclonal Antibody

Rabbit Polyclonal Antibody
Supplier: Invitrogen™ PA554787
Description
Immunogen sequence: SGATTMNIGS DKLLFRNTNV EDVLNARKLE RDSLRDESQR KKEQDKLQRE RDKLAKQERK E Highest antigen sequence identity to the following orthologs: Mouse - 87%, Rat - 92%.
CCDC43 is a coiled-coil domain containing protein of unknown function.
Specifications
CCDC43 | |
Polyclonal | |
Unconjugated | |
CCDC43 | |
2610001E01Rik; Ccdc43; coiled-coil domain containing 43; coiled-coil domain-containing protein 43; D11Ertd707e; FLJ31795; RGD1311929 | |
Rabbit | |
Antigen affinity chromatography | |
RUO | |
124808 | |
Store at 4°C short term. For long term storage, store at -20°C, avoiding freeze/thaw cycles. | |
Liquid |
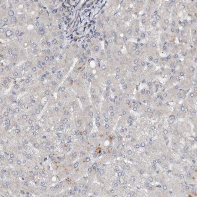
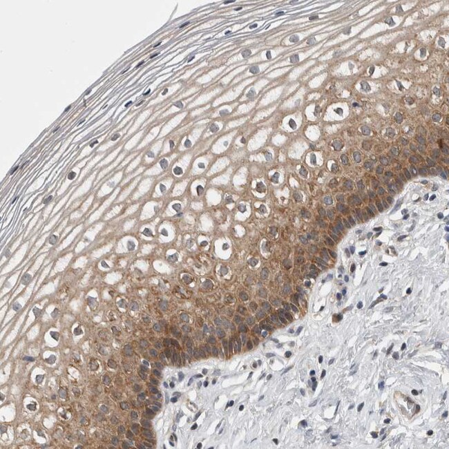
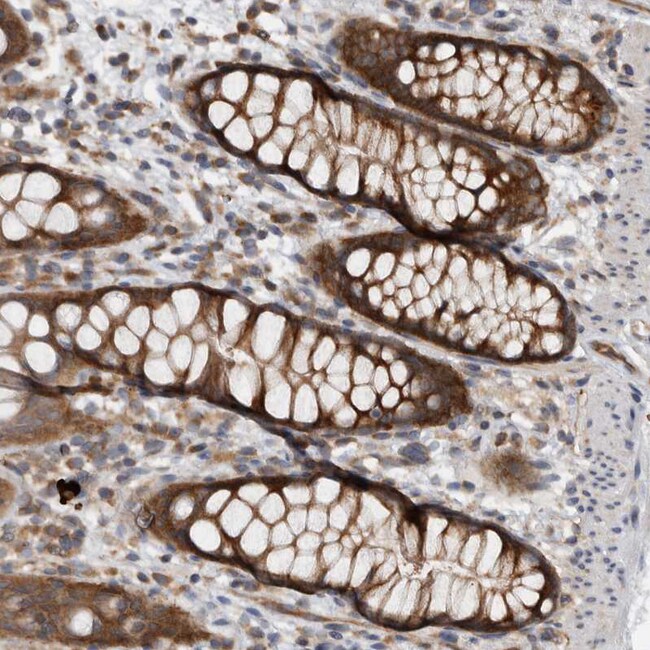
Immunohistochemistry (Paraffin), Western Blot, Immunocytochemistry | |
0.7 mg/mL | |
PBS with 40% glycerol and 0.02% sodium azide; pH 7.2 | |
Q96MW1 | |
CCDC43 | |
Recombinant protein corresponding to Human CCDC43. Recombinant protein control fragment (Product #RP-93481). | |
100 μL | |
Primary | |
Human | |
Antibody | |
IgG |
Safety and Handling
WARNING: Cancer - www.P65Warnings.ca.gov
Product Content Correction
Your input is important to us. Please complete this form to provide feedback related to the content on this product.
Product Title
Spot an opportunity for improvement?Share a Content Correction