Promotional price valid on web orders only. Your contract pricing may differ. Interested in signing up for a dedicated account number?
Learn More
Learn More
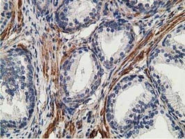
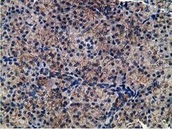
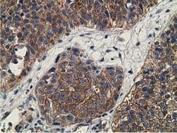
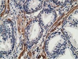
CCNB1IP1 Mouse anti-Human, Clone: OTI4H3, liquid, TrueMAB™

Mouse Monoclonal Antibody
Supplier: OriGene TA502700S

Description
HEI10 is a member of the E3 ubiquitin ligase family and functions in progression of the cell cycle through G(2)/M.Specifications
CCNB1IP1 | |
Monoclonal | |
1 mg/mL | |
PBS with 1% BSA, 50% glycerol and 0.02% sodium azide | |
Q9NPC3 | |
CCNB1IP1 | |
Full length human recombit protein of human CCNB1IP1 produced in E.coli. | |
30 μL | |
Primary | |
Human | |
Antibody | |
IgG1 |
Flow Cytometry, Immunohistochemistry (Paraffin), Western Blot | |
OTI4H3 | |
Unconjugated | |
CCNB1IP1 | |
C14orf18, HEI10 | |
Mouse | |
Affinity Chromatography | |
RUO | |
57820 | |
-20° C, Avoid Freeze/Thaw Cycles | |
Liquid |
Product Content Correction
The Fisher Scientific Encompass Program offers items which are not part of our distribution portfolio. These products typically do not have pictures or detailed descriptions. However, we are committed to improving your shopping experience. Please use the form below to provide feedback related to the content on this product.
Product Title
Spot an opportunity for improvement?Share a Content Correction