Promotional price valid on web orders only. Your contract pricing may differ. Interested in signing up for a dedicated account number?
Learn More
Learn More
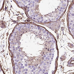
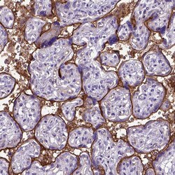
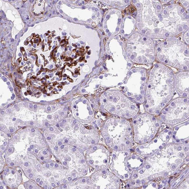
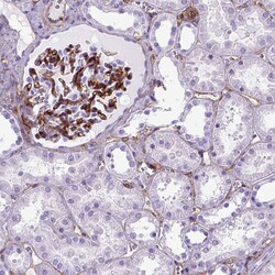
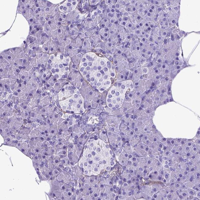
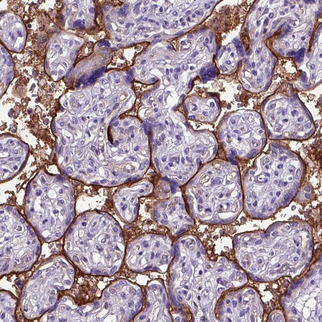
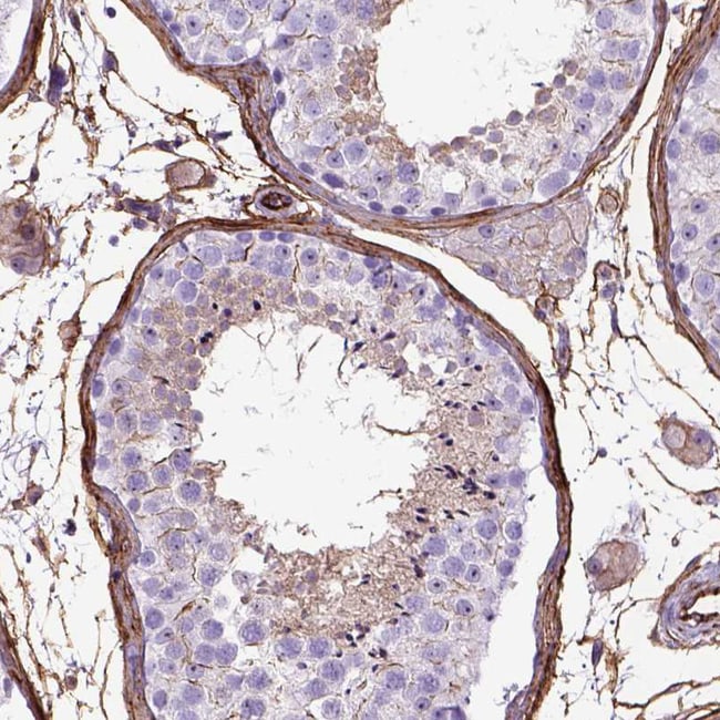
Invitrogen™ CD105 Polyclonal Antibody

Rabbit Polyclonal Antibody
Supplier: Invitrogen™ PA5111623
Description
Immunogen sequence: HILRVLPGHS AGPRTVTVKV ELSCAPGDLD AVLILQGPPY VSWLIDANHN MQIWTTGEYS FKIFPEKNIR GFKLPDTPQG LLGEARMLNA S.
CD105 or Endoglin is a Type I transmembrane protein, which is highly expressed on human vascular endothelial cells. It exists on an O- and N-glycosylated homodimer. Up regulation of endoglin expression has been demonstrated in tumor vasculature and proliferating cells, suggesting that it is a proliferation associated endothelial marker. CD105 binds to TGF beta 1 and 3 with high affinity but not to TGF beta 2.
Specifications
| CD105 | |
| Polyclonal | |
| Unconjugated | |
| ENG | |
| AI528660; AI662476; CD105; CD105 antigen; cell surface MJ7/18 antigen; Edg; END; Endo; Endoglin; endoglin (Osler-Rendu-Weber syndrome 1); Eng; HHT1; ORW; ORW1; S-endoglin; transmembrane glycoprotein | |
| Rabbit | |
| Antigen affinity chromatography | |
| RUO | |
| 2022 | |
| Store at 4°C short term. For long term storage, store at -20°C, avoiding freeze/thaw cycles. | |
| Liquid |
| Immunohistochemistry (Paraffin) | |
| 0.20 mg/mL | |
| PBS with 40% glycerol and 0.02% sodium azide; pH 7.2 | |
| P17813 | |
| ENG | |
| Recombinant Protein corresonding to Human CD105. Recombinant protein control fragment (Product #RP-103851). | |
| 100 μL | |
| Primary | |
| Human | |
| Antibody | |
| IgG |
Safety and Handling
WARNING: Cancer - www.P65Warnings.ca.gov
Product Content Correction
Your input is important to us. Please complete this form to provide feedback related to the content on this product.
Product Title
Spot an opportunity for improvement?Share a Content Correction