Learn More
Invitrogen™ CD11b Recombinant Rabbit Monoclonal Antibody (RM290)

Rabbit Recombinant Monoclonal Antibody
Supplier: Invitrogen™ MA527894
Description
Recombinant rabbit monoclonal antibodies are produced using in vitro expression systems. The expression systems are developed by cloning in the specific antibody DNA sequences from immunoreactive rabbits. Then, individual clones are screened to select the best candidates for production. The advantages of using recombinant rabbit monoclonal antibodies include: better specificity and sensitivity, lot-to-lot consistency, animal origin-free formulations, and broader immunoreactivity to diverse targets due to larger rabbit immune repertoire.
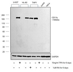
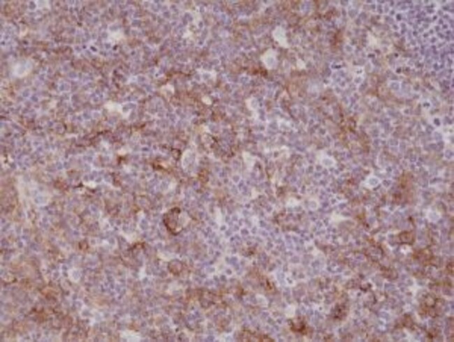
CD11b (integrin alpha-M, ITGAM, integrin alpha-X, ITGAX) is a 165 kDa adhesion molecule that associates non-covalently with integrin beta-2 (CD18). The CD11b/CD18 heterodimeric complex is also known as integrin alpha-M beta-2, Mac-1, and CR3 (complement receptor 3). CD11b is expressed on the surface of monocytes/macrophages, granulocytes, activated lymphocytes, a subset of NK cells, a subset of dendritic cells, and microglia in the brain. CD11b/CD18 functions as the receptor for ICAM-1 (CD54), ICAM-2 (CD102), ICAM-4 (CD242), CD14, CD50, CD23, heparin, iC3b, fibrinogen, and Factor X -these adhesions are critical for cell-cell and cell-matrix interactions. CD11b is expressed on 8% of spleen cells, 44% of bone marrow cells, and less than 1% of thymocytes, and is commonly used as a microglial marker in nervous tissue. The expression of CD11b increases during monocyte maturation and expression levels vary on tissue macrophages. Further, peritoneal macrophages are reported to express higher levels of CD11b than splenic macrophages. Diseases associated with CD11b dysfunction include systemic lupus erythematosus 6 and ITGAM-related susceptibility to systemic lupus erythematosus.
Specifications
| CD11b | |
| Recombinant Monoclonal | |
| 0.2 mg/mL | |
| PBS with 1% BSA, 50% glycerol and 0.09% sodium azide | |
| P11215 | |
| ITGAM | |
| A peptide corresponding to the C-terminus of human CD11b (Integrin alpha-M). | |
| 100 μL | |
| Primary | |
| Human | |
| Antibody | |
| IgG |
| Immunohistochemistry (Paraffin), Western Blot | |
| RM290 | |
| Unconjugated | |
| ITGAM | |
| antigen CD11b (p170); antigen CD11b (p170); macrophage antigen alpha polypeptide; CD11 antigen-like family member B; CD11b; CD11B (p170); CD11b/CD18; cell surface glycoprotein MAC-1 alpha subunit; cell surface glycoprotein MAC-1 subunit alpha; complement component 3 receptor 3 subunit; complement component receptor 3 alpha-a; complement receptor type 3; CR3; CR-3 alpha chain; CR3A; F730045J24Rik; integrin alpha M; integrin alpha-M; integrin subunit alpha M; integrin, alpha M; integrin, alpha M (complement component 3 receptor 3 subunit); ITGAM; Leukocyte adhesion receptor MO1; leukocyte integrin alpha-M chain; LOC100351865; Ly-40; MAC1; Mac-1; Mac-1 alpha; Mac-1 alpha (Mac1A); MAC-1 alpha subunit; MAC1A; Mac-1a; macrophage antigen alpha; macrophage antigen alpha polypeptide; MGC117044; MO1A; Neutrophil adherence receptor; neutrophil adherence receptor alpha-M subunit; SLEB6; unnamed protein product | |
| Rabbit | |
| Protein A | |
| RUO | |
| 3684 | |
| -20°C | |
| Liquid |
Your input is important to us. Please complete this form to provide feedback related to the content on this product.