Learn More
Invitrogen™ CD13 Polyclonal Antibody

Rabbit Polyclonal Antibody
Supplier: Invitrogen™ PA5120936
Description
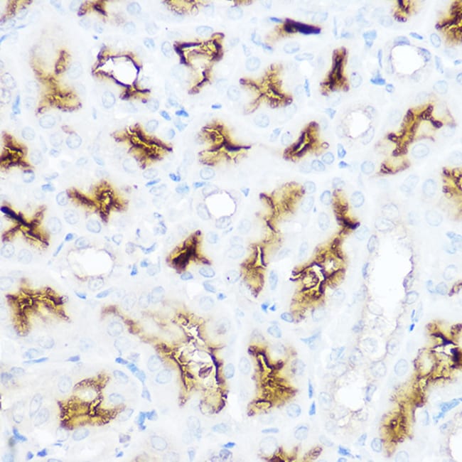
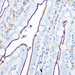
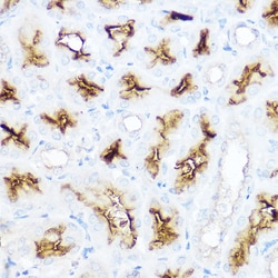
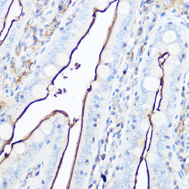
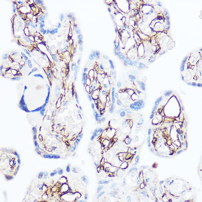
Positive test controls include: OVCAR3, Mouse kidney, Rat kidney. The target is usually found in the following locations: Cell membrane, Cytoplasm, Single-pass type II membrane protein, cytosol. Immunogen sequence: LASAHKVPVT LALNNTLFLI EERQYMPWEA ALSSLSYFKL MFDRSEVYGP MKNYLKKQVT PLFIHFRNNT NNWREIPENL MDQYSEVNAI STACSNGVPE CEEMVSGLFK QWMENPNNNP IHPNLRSTVY CNAIAQGGEE EWDFAWEQFR NATLVNEADK LRAALACSKE LWILNRYLSY TLNPDLIRKQ DATSTIISIT NNVIGQGLVW DFVQSNWKKL FNDYGGGSFS FSNLIQAVTR RFSTEYELQQ LEQFKKDNEE TGFGSGTRAL EQALEKTKAN IKWVKENKEV VLQWFTENSK.
CD13, also known as ANPEP, is a 150-170 kDa type II transmembrane zinc-binding ectopeptidase expressed on a wide variety of cell types and tissues. It is prominently found on monocytes and granulocytes in the blood, but not on lymphocytes. Additionally, CD13 is expressed on endothelial cells, epithelial cells, fibroblasts, kidney proximal tubules, intestine, placenta, and myeloid leukemia cells. As a metalloprotease, CD13 preferentially catalyzes the removal of neutral amino acids from small peptides, thereby activating or inactivating bioactive peptides. It plays a crucial role in various biological processes, including the degradation of enkephalins and endorphins, terminal degradation of peptides, amino acid scavenging, antigen processing, and the adhesion and migration of cells. CD13 is also involved in extracellular matrix degradation, signal transduction, inflammatory responses, regulation of intercellular contact, cell motility, and vascularization. In the context of disease, CD13 is associated with the protection of leukemic cells against apoptosis and is linked to a poor prognosis in carcinomas. Furthermore, CD13 functions as an aminopeptidase enzyme and serves as an alpha receptor for coronavirus.
Specifications
CD13 | |
Polyclonal | |
Unconjugated | |
ANPEP | |
alanyl (membrane) aminopeptidase; alanyl (membrane) aminopeptidase (aminopeptidase N, aminopeptidase M, microsomal aminopeptidase, CD13, p150); alanyl aminopeptidase; alanyl aminopeptidase, membrane; aminopeptidase; aminopeptidase Ey; Aminopeptidase M; aminopeptidase N; aminopeptidase N.; aminopeptidase N/CD13; Anpep; APDE; Apm; AP-M; APN; AP-N; bAPN; cAPN; Cd13; cluster of differentiation antigen 13 (CD13); fAPN; gp130; gp150; h AP-N; hAPN; kidney aminopeptidase M; kidney Zn peptidase; KZP; Lap1; Lap-1; leucine arylaminopeptidase 1; LOW QUALITY PROTEIN: aminopeptidase N; membrane alanine aminiopeptidase; membrane alanine aminopeptidase; membrane alanyl aminopeptidase; membrane protein p161; Microsomal aminopeptidase; myeloid plasma membrane glycoprotein CD13; p150; pAPN; PEPN; porcine aminopeptidase N; rAPN; rbAPN; Unknown (protein for MGC:126949) | |
Rabbit | |
Affinity Chromatography | |
RUO | |
16790, 290, 81641 | |
-20°C, Avoid Freeze/Thaw Cycles | |
Liquid |
ELISA, Immunohistochemistry (Paraffin), Western Blot, Immunocytochemistry | |
0.76 mg/mL | |
PBS with 50% glycerol and 0.02% sodium azide; pH 7.3 | |
P15144, P15684, P97449 | |
ANPEP | |
Recombinant fusion protein containing a sequence corresponding to amino acids 668-967 of human CD13/CD13/ANPEP (NP_0011412). | |
100 μL | |
Primary | |
Human, Mouse, Rat | |
Antibody | |
IgG |
Safety and Handling
Your input is important to us. Please complete this form to provide feedback related to the content on this product.