Promotional price valid on web orders only. Your contract pricing may differ. Interested in signing up for a dedicated account number?
Learn More

Invitrogen™ CD148 Polyclonal Antibody

Rabbit Polyclonal Antibody

$178.40 - $511.50

Specifications

Antigen CD148
Concentration 0.5 mg/mL
Content And Storage Store at 4°C short term. For long term storage, store at -20°C, avoiding freeze/thaw cycles.
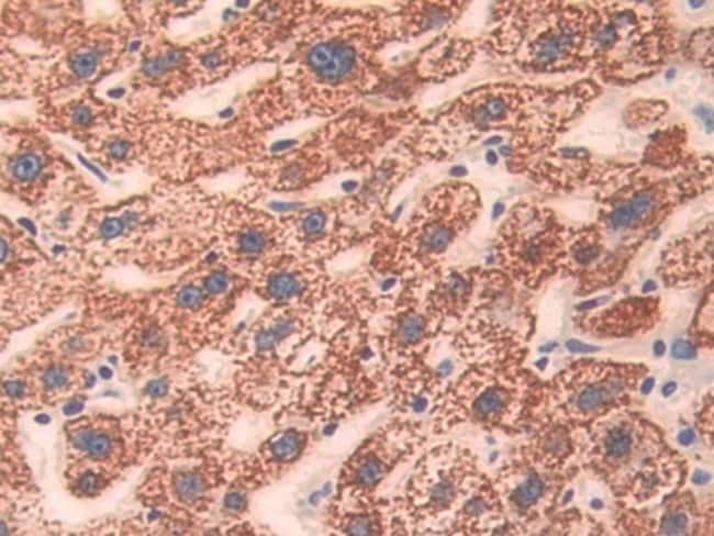
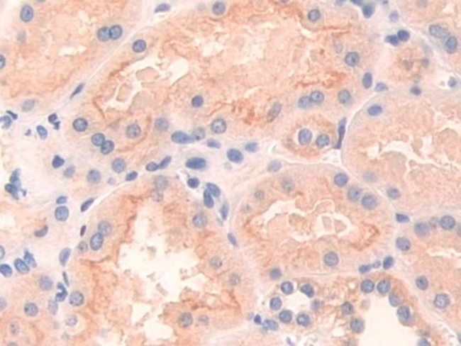
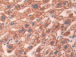
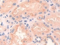
Applications Immunohistochemistry (Paraffin), Western Blot, Immunocytochemistry
Classification Polyclonal
View More Specs

Products 2
Catalog Number Mfr. No. Quantity Price Quantity & Availability  
Catalog Number Mfr. No. Quantity Price Quantity & Availability  
PIPA5119081
View Documents
Invitrogen™
PA5119081
200 μL
Each for $511.50
Only null left
Add to Cart
 
PIPA5122136
View Documents
Invitrogen™
PA5122136
20 μL
Each for $178.40
Only null left
Add to Cart
 
Description

Description

CD148 Polyclonal Antibody for Western Blot, ICC/IF, IHC (P)

CD148 is a highly glycosylated transmembrane protein of up to 250 kDa, containing eight fibronectin type III domains in the extracellular region and one tyrosine phosphatase domain in the cytoplasmic region. Expression is found broadly on fibroblasts, epithelial cells, lymphocytes (B, T and NK cells), and myeloid cells (monocytes and granulocytes). CD148 can dephosphorylate proteins such as LAT and PLC-gamma, and is involved in the downregulation of T cell activation. Conversely, CD148 expression can be upregulated following T cell activation.
Specifications

Specifications

CD148
Store at 4°C short term. For long term storage, store at -20°C, avoiding freeze/thaw cycles.
Polyclonal
Liquid
IgG
Human, Mouse
PTPRJ
AI450271; BET; Byp; CD148; CD148 antigen; colon tumor susceptibility 1; density enhanced phosphatase-1; density-enhanced phosphatase 1; DEP1; DEP-1; HPTP beta-like tyrosine phosphatase; HPTP eta; HPTPeta; human density enhanced phosphatase-1; protein tyrosine phosphatase, receptor type J; protein tyrosine phosphatase, receptor type, J; protein tyrosine phosphatase, receptor type, J polypeptide; protein-tyrosine phosphatase eta; Protein-tyrosine phosphatase receptor type J; Ptpb2; PTPbeta2; Ptprj; Receptor-type tyrosine-protein phosphatase eta; R-PTP-ETA; RPTPJ; R-PTP-J; Scc1; Scc-1; Susceptibility to colon cancer 1; susceptibility to colon cancer 1, mouse, homolog of
PTPRJ
Primary
Antigen affinity chromatography, Protein A
0.5 mg/mL
Immunohistochemistry (Paraffin), Western Blot, Immunocytochemistry
Unconjugated
Rabbit
RUO
PBS with 50% glycerol and 0.05% ProClin 300; pH 7.4
Q12913, Q64455
19271, 5795
Recombinant protein Density Enhanced Phosphatase 1. The antigen corresponds to amino acid range 1061-1293 of the target protein.
Antibody
Videos
SDS
Documents

Documents

Product Certifications
Product Content Correction

Your input is important to us. Please complete this form to provide feedback related to the content on this product.

Product Title

By clicking Submit, you acknowledge that you may be contacted by Fisher Scientific in regards to the feedback you have provided in this form. We will not share your information for any other purposes. All contact information provided shall also be maintained in accordance with our Privacy Policy.

Your feedback has been submitted: Thank you for helping us improve our website.