Learn More
Invitrogen™ CD155 Polyclonal Antibody

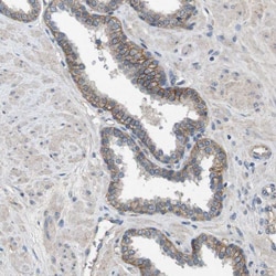
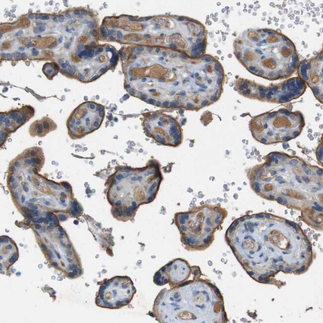
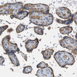
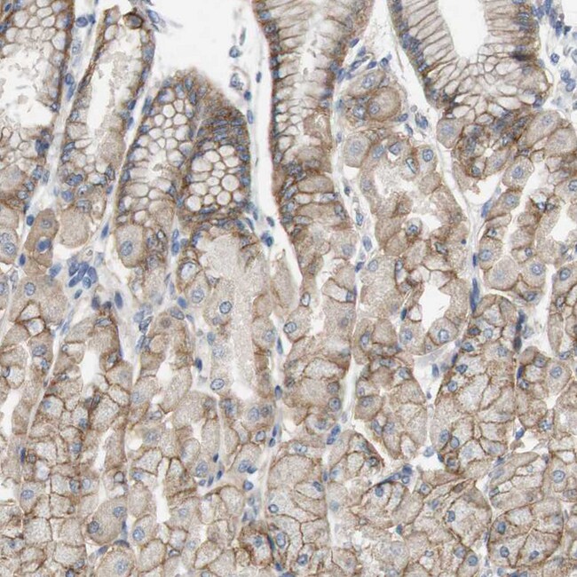
Description
Immunogen sequence: DVVVQAPTQV PGFLGDSVTL PCYLQVPNME VTHVSQLTWA RHGESGSMAV FHQTQGPSYS ESKRLEFVAA RLGAELRNAS LRMFGLRVED EGNYTCLFVT FP Highest antigen sequence indentity to the following orthologs: Rat - 47%, Mouse - 48%.
Specifications
Specifications
| Antigen | CD155 |
| Applications | Immunohistochemistry (Paraffin), Western Blot |
| Classification | Polyclonal |
| Concentration | 0.1 mg/mL |
| Conjugate | Unconjugated |
| Formulation | PBS with 40% glycerol and 0.02% sodium azide; pH 7.2 |
| Gene | PVR |
| Gene Accession No. | P15151 |
| Gene Alias | 3830421F03Rik; AI325026; AI987993; CD112; CD155; D7Ertd458e; FLJ25946; herpes virus entry mediator B; Herpesvirus entry mediator B; hveB; HVED; mE4; mHveB; Mph; murine herpes virus entry protein B; murine herpesvirus entry protein B; NECL5; necl-5; Nectin cell adhesion molecule 2; Nectin2; Nectin-2; nectin-like 5; nectin-like protein 5; Poliovirus receptor; poliovirus receptor homolog; poliovirus receptor-related 2; poliovirus receptor-related protein 2; poliovirus sensitivity; PVR; Pvrl2; PVS; sCD112; soluble CD112; Taa1; TAGE4; tumor-associated antigen 1; tumor-associated glycoprotein pE4 |
| Gene Symbols | PVR |
| Show More |
Safety and Handling
By clicking Submit, you acknowledge that you may be contacted by Fisher Scientific in regards to the feedback you have provided in this form. We will not share your information for any other purposes. All contact information provided shall also be maintained in accordance with our Privacy Policy.