Promotional price valid on web orders only. Your contract pricing may differ. Interested in signing up for a dedicated account number?
Learn More
Learn More
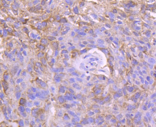
Invitrogen™ CD171 (L1CAM) Polyclonal Antibody

Rabbit Polyclonal Antibody
Supplier: Invitrogen™ PA5141182
This item is not returnable.
View return policy
Description
CD171 (L1CAM) Polyclonal Antibody for Western Blot, ICC/IF, IHC (P), Flow
L1CAM/CD171 is an axonal glycoprotein belonging to the immunoglobulin supergene family. The ectodomain, consisting of several immunoglobulin-like domains and fibronectin-like repeats (type III), is linked via a single transmembrane sequence to a conserved cytoplasmic domain. This cell adhesion molecule plays an important role in nervous system development, including neuronal migration and differentiation. Mutations in the gene cause three X-linked neurological syndromes known by the acronym CRASH (corpus callosum hypoplasia, retardation, aphasia, spastic paraplegia and hydrocephalus). Alternative splicing of a neuron-specific exon is thought to be functionally relevant.
Specifications
| CD171 (L1CAM) | |
| Polyclonal | |
| Unconjugated | |
| L1CAM | |
| Antigen identified by monoclonal antibody R1; CAML1; CD 171; CD171; CD171 molecule; HSAS; HSAS1; Hyd; L1; L1 cell adhesion molecule; L1CAM; MASA; MIC5; N-CAM L1; NCAML1; N-CAML1; N-CAM-L1; NCAM-L1; Nerve-growth factor-inducible large external glycoprotein; neural cell adhesion molecule L1; NILE; S10; sCD171; sL1 CAM; sL1CAM; soluble CD 171; soluble CD171; soluble L1 CAM; soluble L1CAM; SPG1 | |
| Rabbit | |
| Antigen affinity chromatography | |
| RUO | |
| 16728, 3897, 50687 | |
| Store at 4°C short term. For long term storage, store at -20°C, avoiding freeze/thaw cycles. | |
| Liquid |
| Flow Cytometry, Immunohistochemistry (Paraffin), Western Blot, Immunocytochemistry | |
| 2 mg/mL | |
| PBS with 0.2% BSA, 40% glycerol and 0.05% sodium azide; pH 7.4 | |
| P11627, P32004, Q05695 | |
| L1CAM | |
| Synthetic peptide within Human NCAM-L1 aa 1,208-1,257/1,257. | |
| 100 μL | |
| Primary | |
| Human, Mouse, Rat | |
| Antibody | |
| IgG |
Product Content Correction
Your input is important to us. Please complete this form to provide feedback related to the content on this product.
Product Title
Spot an opportunity for improvement?Share a Content Correction