Promotional price valid on web orders only. Your contract pricing may differ. Interested in signing up for a dedicated account number?
Learn More
Learn More
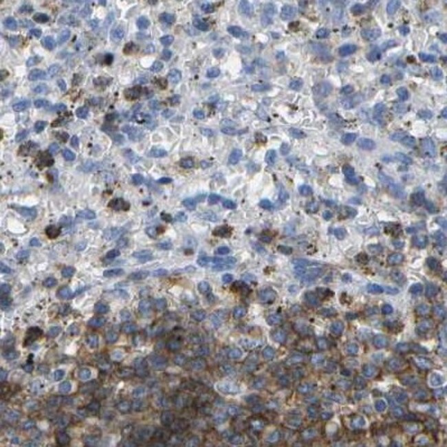
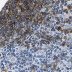
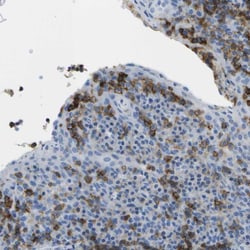
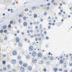
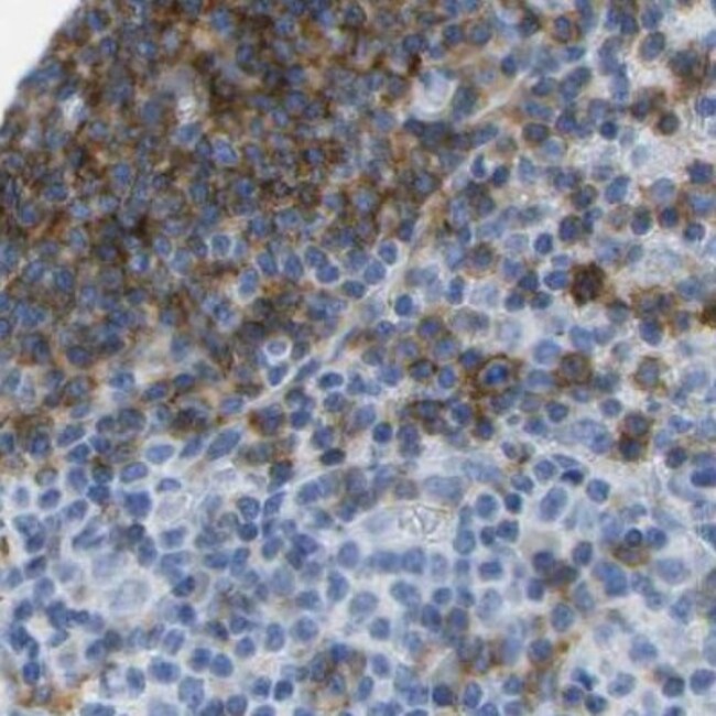
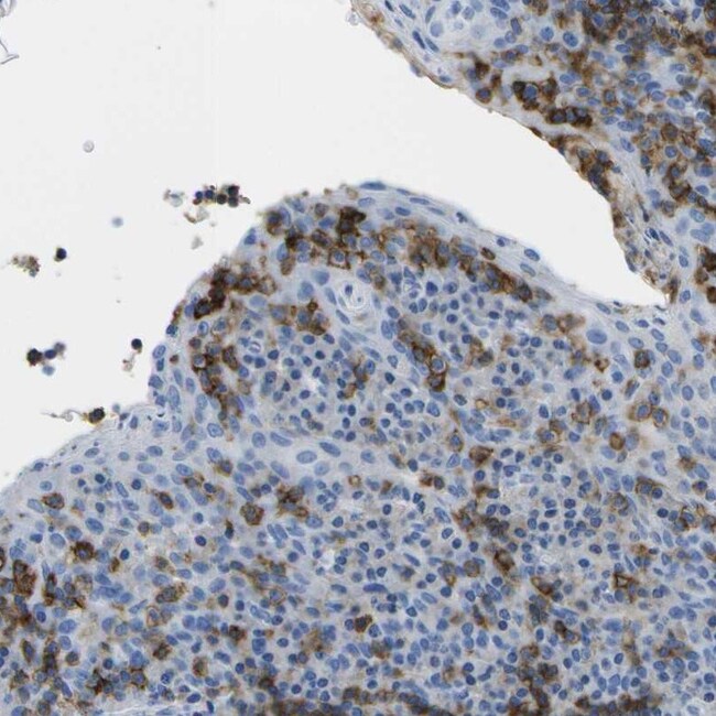
Invitrogen™ CD20 Polyclonal Antibody

Rabbit Polyclonal Antibody
Supplier: Invitrogen™ PA5110791
Description
Immunogen sequence: MESLNFIRAH TPYINIYNCE PANPSEKNSP STQYCY.
CD20 is a non-glycosylated surface phosphoprotein that has a molecular weight range of 33-37 kDa depending on the degree of phosphorylation. CD20 is expressed on mature and most malignant B cells, in a subpopulation of T lymphocytes and follicular dendritic cells. CD20 expression on B cells is synchronous with the expression of surface IgM and it regulates transmembrane calcium conductance, cell cycle progression and B-cell proliferation. CD20 is also associated with lipid rafts, but the intensity of this association depends on extracellular triggering, employing CD20 conformational change, and/or BCR (B cell antigen receptor) aggregation. After the receptor ligation, BCR and CD20 colocalize and then rapidly dissociate before BCR endocytosis, whereas CD20 remains at the cell surface. CD20 serves as a useful target for antibody-mediated therapeutic depletion of B cells, as it is expressed at high levels on most B-cell malignancies, but does not become internalized or shed from the plasma membrane following monoclonal antibody treatment. Diseases associated with CD20 dysfunction include Ms4a1-related common variable immune deficiency.
Specifications
| CD20 | |
| Polyclonal | |
| Unconjugated | |
| Ms4a1 | |
| AA960661; APY; ATOPY; B1; B-cell differentiation antigen Ly-44; B-lymphocyte antigen CD20; B-lymphocyte cell-surface antigen B1; B-lymphocyte surface antigen B1; Bp35; Cd20; CD20 antigen; CD20 cell surface protein; CD20 receptor; CVID5; EGK_06167; Fc epsilon receptor I beta chain; Fc Fragment of IgE high affinity I receptor for beta polypeptide; FCER1B; High affinity immunoglobulin epsilon receptor subunit beta; IgE Fc receptor subunit beta; IGEL; IGER; IGHER; LEU16; LEU-16; Leukocyte surface antigen Leu-16; Ly44; Ly-44; Lymphocyte antigen 44; membrane spanning 4-domains A1; membrane-spanning 4-domains subfamily A member 1; membrane-spanning 4-domains, subfamily A, member 1; membrane-spanning 4-domains, subfamily A, member 2; MGC3969; MS4A1; MS4A2; S7 | |
| Rabbit | |
| Antigen Affinity Chromatography | |
| RUO | |
| 931 | |
| Store at 4°C short term. For long term storage, store at -20°C, avoiding freeze/thaw cycles. | |
| Liquid |
| Immunohistochemistry (Paraffin), Western Blot | |
| 0.05 mg/mL | |
| PBS with 40% glycerol and 0.02% sodium azide; pH 7.2 | |
| P11836 | |
| Ms4a1 | |
| Recombinant Protein corresonding to Human CD20. Recombinant protein control fragment (Product #RP-91161). | |
| 100 μL | |
| Primary | |
| Human | |
| Antibody | |
| IgG |
Product Content Correction
Your input is important to us. Please complete this form to provide feedback related to the content on this product.
Product Title
Spot an opportunity for improvement?Share a Content Correction