Learn More
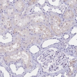
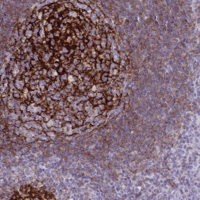
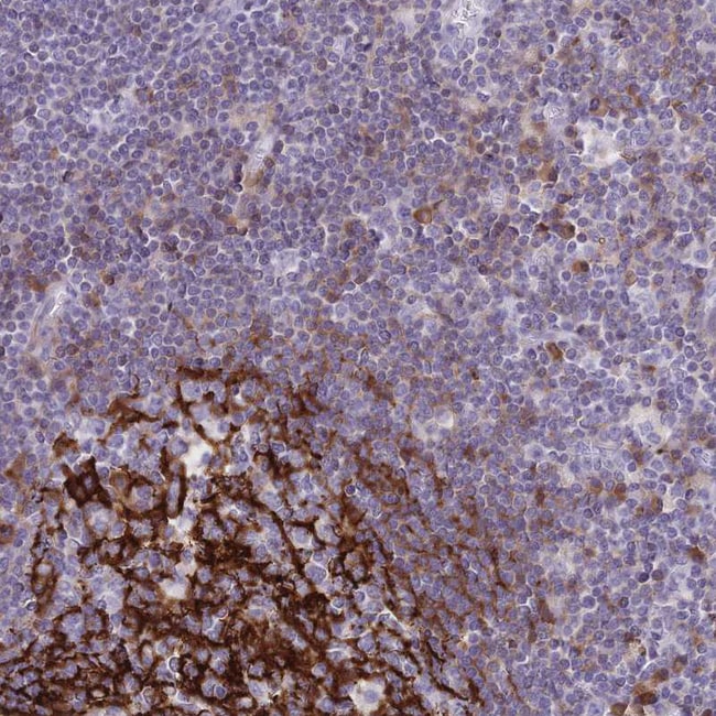
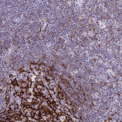
Invitrogen™ CD21 Polyclonal Antibody

Description
Immunogen sequence: VIRYSCSGTF RLIGEKSLLC ITKDKVDGTW DKPAPKCEYF NKYSSCPEPI VPGGYKIRGS TPYRHGDSVT FACKTNFSMN GNKS Highest antigen sequence indentity to the following orthologs: Mouse - 58%, Rat - 56%.
Specifications
Specifications
| Antigen | CD21 |
| Applications | Immunohistochemistry (Paraffin), Western Blot |
| Classification | Polyclonal |
| Concentration | 0.2 mg/mL |
| Conjugate | Unconjugated |
| Formulation | PBS with 40% glycerol and 0.02% sodium azide; pH 7.2 |
| Gene | CR2 |
| Gene Accession No. | P20023 |
| Gene Alias | C3b/C4b receptor; C3-binding protein; C3BR; C3DR; C4BR; CD21; CD35; CD35 antigen; cell surface receptor for C3d; complement C3b/C4b receptor 1 (Knops blood group); complement C3d receptor; Complement C3d receptor (C3DR); complement C3d receptor 2; complement component (3b/4b) receptor 1 (Knops blood group); complement component (3d/Epstein Barr virus) receptor 2; complement component 3b/4b receptor 1 (Knops blood group); complement component 3d receptor 2; complement component receptor 2; complement receptor 1 long isoform; complement receptor 2; complement receptor type 1; complement receptor type 1-like protein; complement receptor type 2; Complement Receptor type 2 (CR2); CR; CR1; Cr-1; CR1-L; Cr2; Cr-2; CVID7; EBV receptor; EBV-R; Epstein-Barr virus receptor; EVBR; expressed in B lymphocytes; KN; Knops blood group antigen; LOW QUALITY PROTEIN: complement receptor type 1; SLEB9 |
| Gene Symbols | CR2 |
| Show More |
Safety and Handling
By clicking Submit, you acknowledge that you may be contacted by Fisher Scientific in regards to the feedback you have provided in this form. We will not share your information for any other purposes. All contact information provided shall also be maintained in accordance with our Privacy Policy.