Promotional price valid on web orders only. Your contract pricing may differ. Interested in signing up for a dedicated account number?
Learn More
Learn More
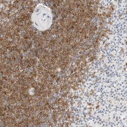
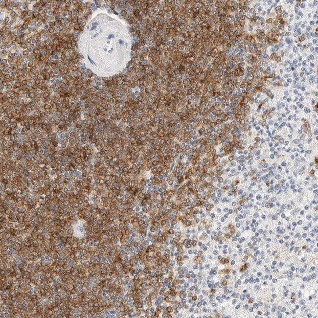
Invitrogen™ CD22 Polyclonal Antibody

Rabbit Polyclonal Antibody
Supplier: Invitrogen™ PA5110901
Description
Immunogen sequence: DLESFILFHN PEYNKNTSKF DGTRLYESTK DGKVPSEQKR VQFLGDKNKN CTLSIHPVHL NDSGQLGLRM ESKTEKWMER IHLNVSERPF PPHIQLPPEI QESQEVTLTC LLNFSCYGYP IQLQWLL.
CD22, also known as BL-CAM, is a type I transmembrane glycoprotein composed of two polypeptide chains, CD22alpha and CD22beta, with molecular weights of 130 and 140 kDa, respectively. These chains are produced by alternative splicing of the CD22 gene. CD22 is prominently expressed on mature B cells and B cell lymphomas, including hairy cell leukemia, diffuse large B-cell lymphoma, and nodular lymphocyte predominance Hodgkin's lymphoma, but is negative in classical Hodgkin's lymphoma. The extracellular portion of CD22 contains seven Ig-like domains that preferentially bind alpha2,6-linked sialic acid moieties found on epithelial, endothelial, B, and T cells. This binding can be masked by cis interactions with sialic acids on the same cell surface. CD22 expression is limited to late stages of B-cell differentiation, making it useful for phenotyping mature leukemias. Intracellularly, CD22 features six tyrosine residues within immunotyrosine-based inhibitory motifs (ITIM) and activation-like motifs. These residues are phosphorylated upon B-cell receptor engagement, allowing CD22 to regulate B-cell receptor signaling. CD22 participates in positive regulation through interactions with Src family tyrosine kinases and acts as an inhibitory receptor by recruiting cytoplasmic phosphatases via SH2 domains, which block signal transduction through dephosphorylation of signaling molecules. CD22's role in both positive and negative regulation of B-cell signaling, along with its specific expression pattern, makes it a valuable marker for antibody customers interested in B-cell-related research and diagnostics.
Specifications
| CD22 | |
| Polyclonal | |
| Unconjugated | |
| CD22 | |
| A530093D23; B-cell receptor CD22; BL-CAM; B-lymphocyte cell adhesion molecule; B-lymphocyte cell adhesion molecule (BL-CAM); Cd22; CD22 antigen; CD22 molecule; FLJ22814; Lectin 2; Leu-14; Lyb8; Lyb-8; MGC130020; sialic acid binding Ig-like lectin 2; sialic acid-binding Ig-like lectin 2; Sialic acid-binding Ig-like lectin 2 (Siglec-2); Siglec2; Siglec-2; T-cell surface antigen Leu-14 | |
| Rabbit | |
| Antigen affinity chromatography | |
| RUO | |
| 933 | |
| Store at 4°C short term. For long term storage, store at -20°C, avoiding freeze/thaw cycles. | |
| Liquid |
| Immunohistochemistry (Paraffin) | |
| 0.5 mg/mL | |
| PBS with 40% glycerol and 0.02% sodium azide; pH 7.2 | |
| P20273 | |
| CD22 | |
| Recombinant Protein corresonding to Human CD22. Recombinant protein control fragment (Product #RP-88562). | |
| 100 μL | |
| Primary | |
| Human | |
| Antibody | |
| IgG |
Safety and Handling
WARNING: Cancer - www.P65Warnings.ca.gov
Product Content Correction
Your input is important to us. Please complete this form to provide feedback related to the content on this product.
Product Title
Spot an opportunity for improvement?Share a Content Correction