Learn More
Invitrogen™ CD24 Polyclonal Antibody

Rabbit Polyclonal Antibody
Supplier: Invitrogen™ PA5120802
Description
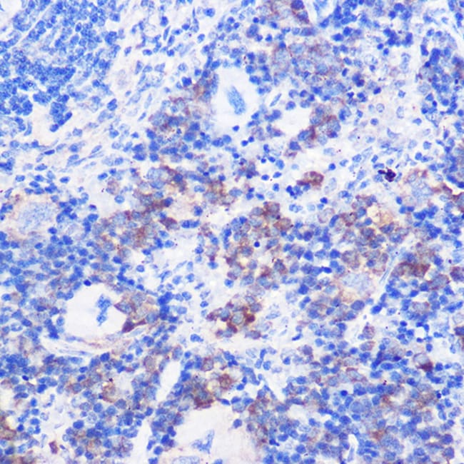
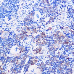
Positive test controls include: B cells, MCF7, SKOV3, Jurkat, Raji, Mouse brain. The target is usually found in the following locations: Cell membrane, GPI-anchor, Lipid-anchor. Immunogen sequence: MGRAMVARLG LGLLLLALLL PTQIYSSETT TGTSSNSSQS TSNSGLAPNP TNATTKAAGG ALQSTASLFV VSLSLLHLYS.
CD24 is a 35-50 kDa glycosylphosphatidylinositol (GPI)-anchored glycoprotein expressed on a variety of cell types, including erythrocytes, thymocytes, peripheral lymphocytes, and cells of the myeloid lineage. It is variably glycosylated, resulting in heterogeneity in molecular mass across different cell lineages, which can affect antibody staining levels on lymphocyte populations. In the context of B-cell development, CD24 is expressed from the pro-B-cell stage in the bone marrow through to mature, surface Ig-positive B cells, with very low or negative expression on plasma cells. It is also present on the majority of B-lineage acute lymphoblastic leukemias, B-cell chronic lymphocytic leukemias (CCLs), and B-cell non-Hodgkin's lymphomas. CD24 is thought to play a role in regulating B-cell proliferation and maturation, as well as in controlling autoimmunity. Additionally, CD24 has been reported to interact with P-selectin (CD62P), indicating a potential role in cell adhesion and signaling. CD24 is a valuable marker for studying B-cell development, leukemia, lymphoma, and autoimmune regulation, as well as its interactions with other molecules like P-selectin.
Specifications
| CD24 | |
| Polyclonal | |
| Unconjugated | |
| Cd24 | |
| CD24; CD24 antigen; CD24 antigen (small cell lung carcinoma cluster 4 antigen); CD24 molecule; CD24A; CD24a antigen; cluster of differentiation 24; FLJ22950; FLJ43543; heat stable antigen; heat-stable antigen; HSA; Ly-52; Lymphocyte antigen 52; M1/69-J11D heat stable antigen; MGC75043; Nectadrin; nectadrin heat stable antigen; R13-Ag; Signal transducer CD24; Small cell lung carcinoma cluster 4 antigen; X62 heat stable antigen | |
| Rabbit | |
| Affinity Chromatography | |
| RUO | |
| 100133941, 12484, 25145 | |
| -20°C, Avoid Freeze/Thaw Cycles | |
| Liquid |
| ELISA, Immunohistochemistry (Paraffin), Western Blot | |
| 1.18 mg/mL | |
| PBS with 50% glycerol and 0.09% sodium azide; pH 7.3 | |
| P24807, P25063, Q07490 | |
| Cd24, Cd24a | |
| Recombinant fusion protein containing a sequence corresponding to amino acids 1-80 of human CD24 (NP_037362.1). | |
| 100 μL | |
| Primary | |
| Human, Mouse, Rat | |
| Antibody | |
| IgG |
Your input is important to us. Please complete this form to provide feedback related to the content on this product.