Promotional price valid on web orders only. Your contract pricing may differ. Interested in signing up for a dedicated account number?
Learn More
Learn More
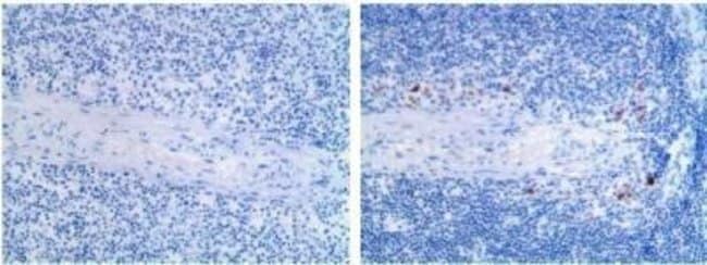
CD25/IL-2R alpha Rat anti-Mouse, Rat, Clone: AP-MAB0710, Novus Biologicals™

Rat Monoclonal Antibody has been used in 2 publications
Supplier: Novus Biologicals NB110978670.025MG
Description
CD25/IL-2R alpha Monoclonal specifically detects CD25/IL-2R alpha in Mouse, Rat samples. It is validated for Flow Cytometry, Immunohistochemistry, Immunohistochemistry-Paraffin, CyTOF-ready.Specifications
CD25/IL-2R alpha | |
Monoclonal | |
Unconjugated | |
A 0.2 um filtered solution in PBS | |
CD25, CD25 antigen, IDDM10, IL-2 receptor subunit alpha, IL2R, IL-2R subunit alpha, IL-2-RA, IL2-RA, interleukin 2 receptor, alpha, interleukin-2 receptor subunit alpha, p55, TAC antigen, TCGFR | |
This antibody was produced from a hybridoma (mouse myeloma fused with spleen cells from a rat immunized with recombinant mouse CD25 protein. | |
0.025 mg | |
Adaptive Immunity, Apoptosis, Cytokine Research, Immunology, Innate Immunity, Mast Cell Markers, Signal Transduction | |
3559 | |
Mouse, Rat | |
Purified |
Flow Cytometry, Immunohistochemistry, Immunohistochemistry (Paraffin), CyTOF | |
AP-MAB0710 | |
Flow Cytometry 1:100-1:1000, Immunohistochemistry 1:10-1:500, Immunohistochemistry-Paraffin 1:20-1:300, CyTOF-ready | |
P01590 | |
Rat | |
Protein G purified | |
RUO | |
Primary | |
Reconstitute with 0.4 mL sterilized PBS to a final concentration of 0.5 mg/ml. | |
Aliquot and store at -20°C or -80°C. Avoid freeze-thaw cycles. | |
IgG1 |
Product Content Correction
Your input is important to us. Please complete this form to provide feedback related to the content on this product.
Product Title
Spot an opportunity for improvement?Share a Content Correction