Promotional price valid on web orders only. Your contract pricing may differ. Interested in signing up for a dedicated account number?
Learn More
Learn More
Invitrogen™ CD25 Polyclonal Antibody

Rabbit Polyclonal Antibody
Supplier: Invitrogen™ PA5116978
Description
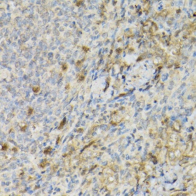
Positive Samples: Rat spleen, Rat lung.
CD25 (IL2 receptor alpha chain/IL2RA) is a cytokine that plays a role in the proliferation of T and B lymphocytes. The receptor of this cytokine (IL2RA) is a heterotrimeric protein complex with a gamma chain also shared by interleukin 4 (IL4) and interleukin 7 (IL7). IL2RA, IL2R beta chain (IL2RB), and the IL2R gamma chain (IL2RG), constitute the high-affinity IL2 receptor. Homodimeric IL2RA chains result in low-affinity receptor, while homodimeric IL2RB chains produce a medium-affinity receptor. The expression of IL2 in mature thymocytes is monoallelic, which represents an unusual regulatory mode for controlling the precise expression of a single gene. IL2 is primarily produced by mature T cells. IL2 plays an important role as a growth factor, differentiation factor, and regulator of cell death. IL-2 stimulates the proliferation of B cells, augments natural killer cell activity, and inhibits granulocyte macrophage colony formation. The targeted disruption of a similar gene in mice leads to ulcerative colitis-like disease, which suggests a role in the immune response to antigenic stimuli. Mutations in this gene are associated with interleukin 2 receptor alpha deficiency.
Specifications
| CD25 | |
| Polyclonal | |
| Unconjugated | |
| IL2RA | |
| ADA; ADA1; Adenosine aminohydrolase; adenosine deaminase; CD25; CD25 antigen; cytokine receptor; IDDM10; IL 2 RA; IL 2 receptor; IL 2R; IL 2R subunit alpha; IL2 RA; IL2 RA antibody; IL2 receptor; il-2 receptor alpha; IL-2 Receptor alpha chain; IL-2 receptor alpha subunit; IL2 receptor subunit alpha; IL-2 receptor subunit alpha; IL2R; IL-2R alpha; IL-2R alpha chain; IL2R subunit alpha; IL-2R subunit alpha; Il2ra; IL-2RA; IL-2-RA; IL2-RA; Il2ra antibody; IL2RAC; IMD41; interleukin 2 receptor; interleukin 2 receptor alpha chain; interleukin 2 receptor subunit alpha; interleukin 2 receptor, alpha; interleukin 2 receptor, alpha chain; interleukin-2 receptor alpha; interleukin-2 receptor alpha chain; interleukin-2 receptor alpha subunit; interleukin-2 receptor beta chain; Interleukin2 receptor subunit alpha; interleukin-2 receptor subunit alpha; Ly-43; p55; p55 chain; sIL 2R; soluble IL 2 receptor; TAC antigen; TCGFR | |
| Rabbit | |
| Affinity chromatography | |
| RUO | |
| 16184, 25704, 3559 | |
| -20°C, Avoid Freeze/Thaw Cycles | |
| Liquid |
| ELISA, Flow Cytometry, Immunohistochemistry (Paraffin), Western Blot, Immunocytochemistry | |
| 1.5 mg/mL | |
| PBS with 50% glycerol and 0.05% ProClin 300; pH 7.3 | |
| P01589, P01590, P26897 | |
| IL2RA | |
| Synthetic Peptide. | |
| 100 μL | |
| Primary | |
| Human, Mouse, Rat | |
| Antibody | |
| IgG |
Safety and Handling
WARNING: Cancer - www.P65Warnings.ca.gov
Product Content Correction
Your input is important to us. Please complete this form to provide feedback related to the content on this product.
Product Title
Spot an opportunity for improvement?Share a Content Correction