Promotional price valid on web orders only. Your contract pricing may differ. Interested in signing up for a dedicated account number?
Learn More
Learn More
Invitrogen™ CD254 (RANK Ligand) Polyclonal Antibody

Rabbit Polyclonal Antibody
Supplier: Invitrogen™ PA520291
Description
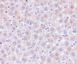
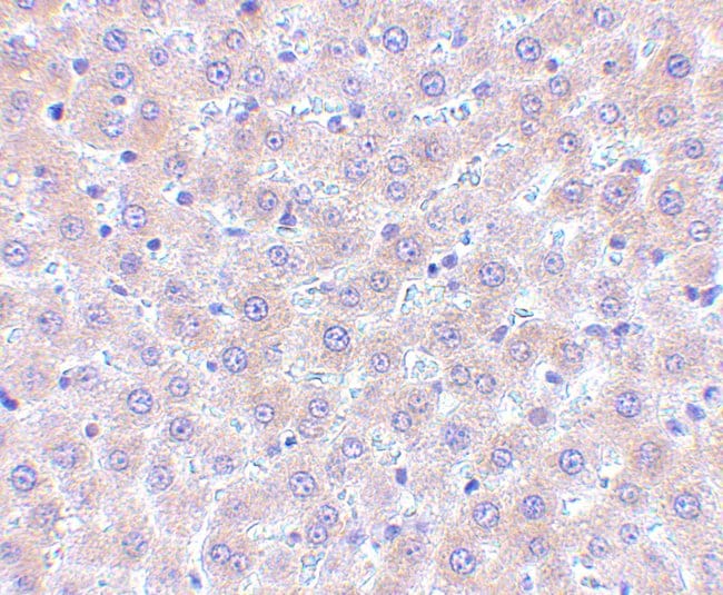
A suggested positive control is rat liver tissue lysate. PA5-20291 can be used with blocking peptide PEP-0421.
This gene encodes a member of the tumor necrosis factor (TNF) cytokine family which is a ligand for osteoprotegerin and functions as a key factor for osteoclast differentiation and activation. This protein was shown to be a dentritic cell survival factor and is involved in the regulation of T cell-dependent immune response. T cell activation was reported to induce expression of this gene and lead to an increase of osteoclastogenesis and bone loss. This protein was shown to activate antiapoptotic kinase AKT/PKB through a signaling complex involving SRC kinase and tumor necrosis factor receptor-associated factor (TRAF) 6, which indicated this protein may have a role in the regulation of cell apoptosis. Targeted disruption of the related gene in mice led to severe osteopetrosis and a lack of osteoclasts. The deficient mice exhibited defects in early differentiation of T and B lymphocytes, and failed to form lobulo-alveolar mammary structures during pregnancy. Two alternatively spliced transcript variants have been found.
Specifications
| CD254 (RANK Ligand) | |
| Polyclonal | |
| Unconjugated | |
| TNFSF11 | |
| CD254; H-RANK-L; hRANKL2; Ly109l; M-Rank-L; ODF; OPG; OPG ligand; OPGL; OPTB2; Osteoclast differentiation factor; osteoprotegerin ligand; Rankl; rank-l; receptor activator of NF-kappaB ligand; receptor activator of nuclear factor kappa B ligand; receptor activator of nuclear factor kappa-B ligand; RP11-86N24.2; sOdf; srankl; TNF-related activation-induced cytokine; Tnfsf11; TNLG6B; Trance; tumor necrosis factor (ligand) superfamily member 11; tumor necrosis factor (ligand) superfamily, member 11; tumor necrosis factor ligand 6B; tumor necrosis factor ligand superfamily member 11; Tumor necrosis factor ligand superfamily member 11, membrane form; Tumor necrosis factor ligand superfamily member 11, soluble form; tumor necrosis factor superfamily member 11; tumor necrosis factor-related activation-induced cytokine | |
| Rabbit | |
| Antigen affinity chromatography | |
| RUO | |
| 117516, 21943, 8600 | |
| 4°C | |
| Liquid |
| Immunohistochemistry (Paraffin), Western Blot | |
| 1 mg/mL | |
| PBS with 0.02% sodium azide | |
| O14788, O35235, Q9ESE2 | |
| TNFSF11 | |
| A 14 amino acid peptide from near the center of human sRANK-L. | |
| 100 μg | |
| Primary | |
| Human, Mouse, Rat | |
| Antibody | |
| IgG |
Safety and Handling
WARNING: Cancer - www.P65Warnings.ca.gov
Product Content Correction
Your input is important to us. Please complete this form to provide feedback related to the content on this product.
Product Title
Spot an opportunity for improvement?Share a Content Correction