Promotional price valid on web orders only. Your contract pricing may differ. Interested in signing up for a dedicated account number?
Learn More

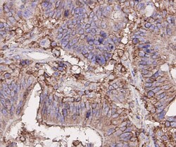
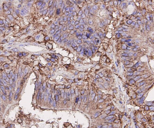
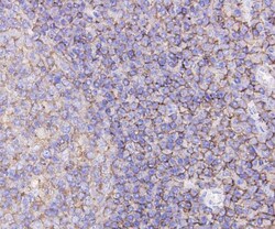
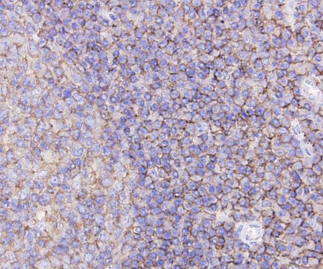
CD44 Monoclonal Antibody (A7-1), Huabio

Mouse Monoclonal Antibody

Supplier:  HUABIO RESEARCH INC EM010805

Encompass
Encompass_Preferred

Catalog No. 50-254-4842


May include imposed supplier surcharges.
Only null left
Add to Cart

Description

Description

CD44 Monoclonal antibody specifically detects CD44 in Human samples. It is validated for Flow Cytometry, Immunohistochemistry (Paraffin), Western Blot
Specifications

Specifications

CD44
Monoclonal
2 mg/mL
PBS with 0.2% BSA, 40% glycerol and 0.05% sodium azide; pH 7.4
P16070
Mouse
Antigen affinity chromatography
RUO
960
Store at 4°C short term. For long term storage, store at -20°C, avoiding freeze/thaw cycles.
Liquid
Flow Cytometry, Immunohistochemistry (Paraffin), Western Blot
A7-1
Unconjugated
CD44
AU023126; AW121933; AW146109; Bovine CD44; CD44; CD44 antigen; CD44 antigen-like protein; CD44 molecule; CD44 molecule (Indian blood group); CD44 protein; CD44 variant; CD44A; CD44-like protein; CDW44; cell surface glycoprotein CD44; Cell surface glycoprotein CD44 (hyaluronate binding protein); cell-surface glycoprotein; chondroitin sulfate proteoglycan 8; CSPG8; ECMRIII; ECMR-III; Epican; extracellular matrix receptor III; extracellular matrix receptor-III; GP90 lymphocyte homing/adhesion receptor; HCELL; hematopoietic cell E- and L-selectin ligand; heparan sulfate proteoglycan; HERMES; Hermes antigen; homing function and Indian blood group system; HUTCH-I; hyaluronan receptor; Hyaluronate receptor; IN; LHR; Ly-24; lymphocyte antigen 24; lymphocyte surface antigen precursor CD44; MC56; MDU2; MDU3; METAA; MIC4; PGP I; Pgp1; PGP-1; PGPI; PGP-I; Phagocytic glycoprotein 1; phagocytic glycoprotein I; putative Bos taurus CD44; RHAMM; sCD 44; sCD44; soluble CD 44; soluble CD44
Synthetic peptide within human CD44 aa 100-200.
100 μL
Primary
Human
Antibody
IgM
Product Suggestions

Product Suggestions

Videos
SDS
Documents

Documents

Product Certifications
Promotions

Promotions

Product Content Correction

The Fisher Scientific Encompass Program offers items which are not part of our distribution portfolio. These products typically do not have pictures or detailed descriptions. However, we are committed to improving your shopping experience. Please use the form below to provide feedback related to the content on this product.

Product Title

By clicking Submit, you acknowledge that you may be contacted by Fisher Scientific in regards to the feedback you have provided in this form. We will not share your information for any other purposes. All contact information provided shall also be maintained in accordance with our Privacy Policy.

Your feedback has been submitted: Thank you for helping us improve our website.