Learn More
Invitrogen™ CD45 Monoclonal Antibody (MEM-28)
Mouse Monoclonal Antibody
Supplier: Invitrogen™ MA119111
Description
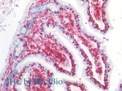
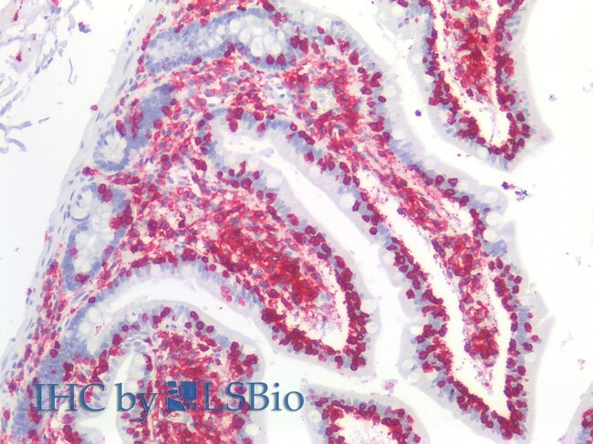
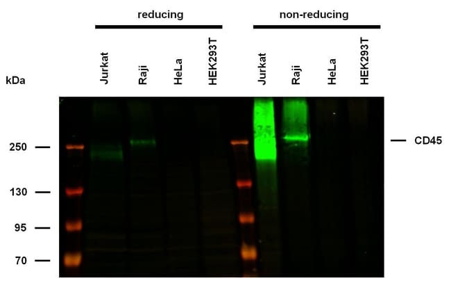
This antibody reacts with an extracellular epitope on all alternative forms of human CD45 antigen (Leukocyte Common Antigen), a 180-220 kDa single chain type I transmembrane protein expressed at high level on all cells of hematopoietic origin, except erythrocytes and platelets. This antibody will not cross-react with equine. Western Blot: non-reducing conditions, band around 200-250 kDa, 6% separating gel; Immunohistochemistry (Paraffin): No pre-treatment of tissue sections is needed; Immunocytochemistry: Paraformaldehyde fixation can be used.
CD45 (LCA, leukocyte common antigen) is a receptor-type protein tyrosine phosphatase (PTP) ubiquitously expressed in all nucleated hematopoietic cells, comprising approximately 10% of all surface proteins in lymphocytes. CD45 is absent on non-hematopoietic cell lines, normal and malignant, non-hematopoietic tissues. CD45 glycoprotein is crucial in lymphocyte development and antigen signaling, serving as an important regulator of Src-family kinases. CD45 protein exists as multiple isoforms as a result of alternative splicing, differ in their extracellular domains but share identical transmembrane and cytoplasmic domains. CD45RA is an isoform of the CD45 complex and has restricted expression between different subtypes of lymphoid cells. CD45 isoforms differ in their ability to translocate into the glycosphingolipid-enriched membrane domains and their expression depends on cell type and physiological state of the cell. CD45 has been shown to be an essential regulator of T- and B-cell antigen receptor signaling and suppresses JAK kinases to regulate cytokine receptor signaling. CD45 is also important in promoting cell survival by modulating integrin-mediated signal transduction pathway, DNA fragmentation during apoptosis and inhibition or upregulation of various immunological functions.
Specifications
CD45 | |
Monoclonal | |
1 mg/mL | |
PBS with 15mM sodium azide; pH 7.4 | |
P08575 | |
PTPRC | |
Human thymocytes and T lymphocytes. | |
100 μg | |
Primary | |
Human | |
Antibody | |
IgG1 |
Flow Cytometry, Immunohistochemistry (Paraffin), Immunoprecipitation, Western Blot, Immunocytochemistry | |
MEM-28 | |
Unconjugated | |
PTPRC | |
B220; cd45; CD45 antigen; CD45 antigen isoform 1 precursor; CD45 antigen isoform 2 precursor; CD45 antigen isoform 3 precursor; CD45 antigen isoform 4 precursor; CD45 antigen isoform 5 precursor; CD45 antigen isoform 6 precursor; CD45R; GP180; Lca; L-CA; leucocyte common antigen; leukocyte common antigen; leukocyte common antigen A; leukocyte common antigen B; leukocyte common antigen, CD45; loc; LOW QUALITY PROTEIN: receptor-type tyrosine-protein phosphatase C; LY5; Ly-5; lymphocyte antigen 5; lymphocyte common antigen; Lyt-4; membrane tyrosine phosphatase; protein tyrosine phosphatase lambda; protein tyrosine phosphatase receptor type C; protein tyrosine phosphatase, receptor type C; protein tyrosine phosphatase, receptor type, C; protein tyrosine phosphatase, receptor type, c polypeptide; Protein tyrosine phosphatase, receptor-type, c polypeptide; protein tyrosine phosphatase; alternatively spliced; Ptprc; Receptor-type tyrosine-protein phosphatase C; RT7; T200; T200 glycoprotein; T200 leukocyte common antigen; T220 and B220 | |
Mouse | |
Protein A | |
RUO | |
5788 | |
4°C, do not freeze | |
Liquid |
Safety and Handling
Your input is important to us. Please complete this form to provide feedback related to the content on this product.