Promotional price valid on web orders only. Your contract pricing may differ. Interested in signing up for a dedicated account number?
Learn More
Learn More
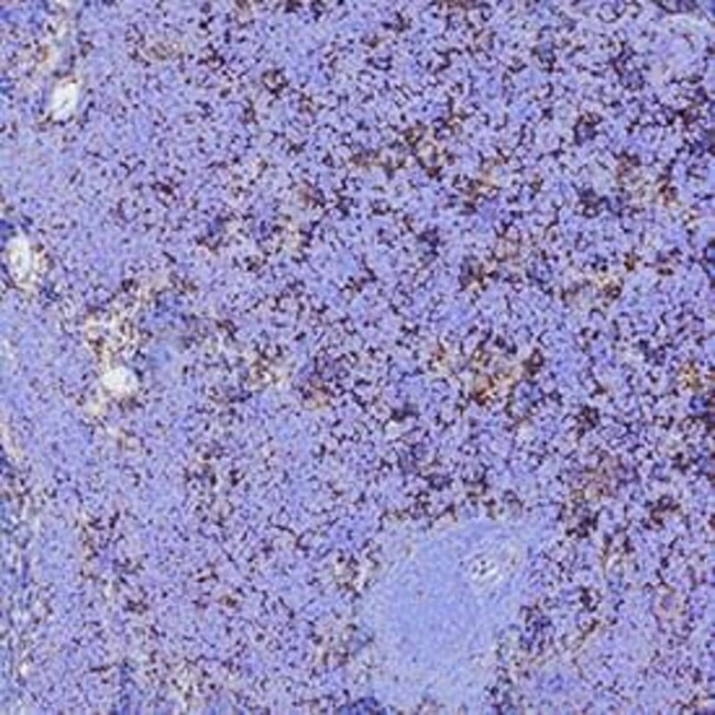
Invitrogen™ CD47 Polyclonal Antibody

Goat Polyclonal Antibody
Supplier: Invitrogen™ PA547215
Description
In direct ELISAs, less than 15% cross-reactivity with recombinant human CD47 is observed. Reconstitute at 0.2 mg/mL in sterile PBS.
CD47, known as integrin-associated protein (IAP), is a glycosylated transmembrane glycoprotein with five domains, expressed widely across hematopoietic cells like T and B cells, monocytes, platelets, and erythrocytes, as well as non-hematopoietic cells. It interacts with integrins such as CD51/CD61 and CD41/CD61, and serves as a receptor for thrombospondin, mediating bi-directional signaling that affects neural synaptic activity and macrophage phagocytosis. CD47 acts as a ligand for CD172a (SIRP alpha), an inhibitory receptor on macrophages, preventing phagocytosis of CD47-positive cells. This interaction influences cell migration, B cell adhesion, T cell activation, and neuronal development, particularly in synapse-rich brain and retina regions. It also modulates chondrocyte responses to mechanical signals. T cell expression of CD47 can lead to activation or apoptosis in the presence of thrombospondin. Monoclonal antibody stimulation of CD47 has been shown to induce CD4+CD25- suppressive activity and increase Foxp3 expression. CD47's role in membrane transport, signal transduction, and its broad tissue distribution highlight its significance in various physiological processes.
Specifications
| CD47 | |
| Polyclonal | |
| Unconjugated | |
| CD47 | |
| 9130415E20Rik; AA407862; AI848868; antigen identified by monoclonal antibody 1D8; antigenic surface determinant protein OA3; AW108519; B430305P08Rik; Cd47; CD47 antigen; CD47 antigen (Rh-related antigen, integrin-associated signal transducer); CD47 antigen/integrin-associated protein; CD47 glycoprotein; CD47 molecule; CD47/IAP; IAP; integrin associated protein; integrin-associated protein; integrin-associated signal transducer; Itgp; Leukocyte surface antigen CD47; MER6; OA3; Protein MER6; Rh-related antigen; sCD47; soluble CD 47; soluble CD47 | |
| Goat | |
| Antigen affinity chromatography | |
| RUO | |
| 16423, 29364 | |
| -20°C, Avoid Freeze/Thaw Cycles | |
| Lyophilized |
| Immunohistochemistry, Immunohistochemistry (Paraffin), Western Blot | |
| 0.2 mg/mL | |
| PBS with 5% trehalose and No Preservative | |
| P97829, Q61735 | |
| CD47 | |
| Mouse myeloma cell line NS0-derived recombinant mouse CD47 N-terminal IgV-like Gln19-Pro158. | |
| 100 μg | |
| Primary | |
| Mouse, Rat | |
| Antibody | |
| IgG |
Product Content Correction
Your input is important to us. Please complete this form to provide feedback related to the content on this product.
Product Title
Spot an opportunity for improvement?Share a Content Correction