Promotional price valid on web orders only. Your contract pricing may differ. Interested in signing up for a dedicated account number?
Learn More
Learn More
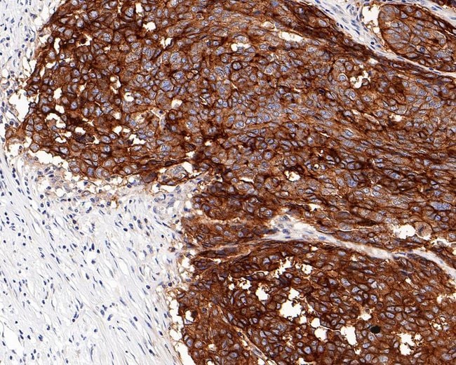
Invitrogen™ CD47 Recombinant Rabbit Monoclonal Antibody (PD00-33)

Rabbit Recombinant Monoclonal Antibody
Supplier: Invitrogen™ MA544652
This item is not returnable.
View return policy
Description
CD47 Recombinant Monoclonal Antibody for IHC (P), Flow
CD47, known as integrin-associated protein (IAP), is a glycosylated transmembrane glycoprotein with five domains, expressed widely across hematopoietic cells like T and B cells, monocytes, platelets, and erythrocytes, as well as non-hematopoietic cells. It interacts with integrins such as CD51/CD61 and CD41/CD61, and serves as a receptor for thrombospondin, mediating bi-directional signaling that affects neural synaptic activity and macrophage phagocytosis. CD47 acts as a ligand for CD172a (SIRP alpha), an inhibitory receptor on macrophages, preventing phagocytosis of CD47-positive cells. This interaction influences cell migration, B cell adhesion, T cell activation, and neuronal development, particularly in synapse-rich brain and retina regions. It also modulates chondrocyte responses to mechanical signals. T cell expression of CD47 can lead to activation or apoptosis in the presence of thrombospondin. Monoclonal antibody stimulation of CD47 has been shown to induce CD4+CD25- suppressive activity and increase Foxp3 expression. CD47's role in membrane transport, signal transduction, and its broad tissue distribution highlight its significance in various physiological processes.
Specifications
CD47 | |
Recombinant Monoclonal | |
1 mg/mL | |
PBS with 0.1% BSA, 40% glycerol and 0.05% sodium azide; pH 7.4 | |
Q08722 | |
CD47 | |
Synthetic peptide within Human CD47 aa 50-150 (internal sequence). | |
100 μL | |
Primary | |
Human | |
Antibody | |
IgG |
Flow Cytometry, Immunohistochemistry (Paraffin) | |
PD00-33 | |
Unconjugated | |
CD47 | |
9130415E20Rik; AA407862; AI848868; antigen identified by monoclonal antibody 1D8; antigenic surface determinant protein OA3; AW108519; B430305P08Rik; Cd47; CD47 antigen; CD47 antigen (Rh-related antigen, integrin-associated signal transducer); CD47 antigen/integrin-associated protein; CD47 glycoprotein; CD47 molecule; CD47/IAP; IAP; integrin associated protein; integrin-associated protein; integrin-associated signal transducer; Itgp; Leukocyte surface antigen CD47; MER6; OA3; Protein MER6; Rh-related antigen; sCD47; soluble CD 47; soluble CD47 | |
Rabbit | |
Protein A | |
RUO | |
961 | |
Store at 4°C short term. For long term storage, store at -20°C, avoiding freeze/thaw cycles. | |
Liquid |
Product Content Correction
Your input is important to us. Please complete this form to provide feedback related to the content on this product.
Product Title
Spot an opportunity for improvement?Share a Content Correction