Learn More
CD56 (NCAM) Monoclonal Antibody (5tukon56), eBioscience™, Invitrogen™

Mouse Monoclonal Antibody
$197.25 - $1562.00
Specifications
Antigen | CD56 (NCAM) |
---|---|
Clone | 5tukon56 |
Concentration | 0.5 mg/mL |
Applications | Immunohistochemistry (Paraffin), Western Blot |
Classification | Monoclonal |
Catalog Number | Mfr. No. | Quantity | Price | Quantity & Availability | |||||
---|---|---|---|---|---|---|---|---|---|
Catalog Number | Mfr. No. | Quantity | Price | Quantity & Availability | |||||
50-255-0886
![]() ![]() |
Invitrogen™
14056582 |
100 μg |
$263.00
$197.25 / Each Save $65.75 25% Off |
![]() |
|||||
14-056-537
![]() |
Invitrogen™
14056537 |
2 mg |
Each for $1,562.00
|
|
|||||
Description
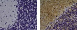
Description: This 5tuckon56 monoclonal antibody reacts with human CD56, also known as Neural Cell Adhesion Molecule (NCAM). CD56 is a highly glycosylated transmembrane molecule expressed in both the developing and adult nervous system and plays a role in neurogenesis, migration, neurite extension, and the homotypic adhesion of neural cells. In the hematopoietic system, CD56 is expressed on NK cells and a subset of T cells referred to as NKT cells. For flow cytometric analysis of human CD56, we recommend clones CMSSB or TULY56. Applications Reported: This 5tukon56 antibody has been reported for use in western blotting, immunohistochemical staining of formalin-fixed paraffin embedded tissue sections, and microscopy. Applications Tested: This 5tukon56 antibody has been tested by immunohistochemistry of formalin-fixed paraffin embedded tissue sections using low or high pH antigen retreival and can be used at less than or equal to 1 μg/mL. It is recommended that the antibody be carefully titrated for optimal performance in the assay of interest. Purity: Greater than 90%, as determined by SDS-PAGE. Aggregation: Less than 10%, as determined by HPLC. Filtration: 0.2 μm post-manufacturing filtered.
CD56 (NCAM, neural cell adhesion molecule) is a transmembrane glycoprotein of the immunoglobulin family that serves as an adhesive molecule and is ubiquitously expressed in the nervous system in isoforms ranging from 120-180 kDa. CD56 is found on T cells and NK cells, and is involved in cell migration, axonal growth, pathfinding and synaptic plasticity. Polysialic modification results in reduction of CD56-mediated cell adhesion. Through its extracellular region, CD56 mediates homophilic and heterophilic interactions by binding extracellular matrix components such as laminin and integrins. CD56 is expressed on most neuroectodermal derived cell lines, tissues and neoplasms such as retinoblastoma, medulloblastoma, astrocytomas and neuroblastoma. Further, CD56 is a widely used neuroendocrine marker with a high sensitivity for neuroendocrine tumors and ovarian granulosa cell tumors. Diseases associated with CD56 dysfunction include rabies and blastic plasmacytoid dendritic cell neoplasms.Specifications
CD56 (NCAM) | |
0.5 mg/mL | |
Monoclonal | |
Liquid | |
RUO | |
PBS with 0.09% sodium azide; pH 7.2 | |
4684 | |
Primary | |
4°C | |
Ncam1 |
5tukon56 | |
Immunohistochemistry (Paraffin), Western Blot | |
Unconjugated | |
Mouse | |
Human | |
P13591 | |
IgG1 κ | |
Affinity chromatography | |
Antibody |
The Fisher Scientific Encompass Program offers items which are not part of our distribution portfolio. These products typically do not have pictures or detailed descriptions. However, we are committed to improving your shopping experience. Please use the form below to provide feedback related to the content on this product.