Promotional price valid on web orders only. Your contract pricing may differ. Interested in signing up for a dedicated account number?
Learn More

CD68 Mouse anti-Human, Clone: CD68/G2, Abnova™

Mouse monoclonal antibody raised against full length recombinant human CD68.

Supplier:  Abnova Corporation MAB13483

Catalog No. 89-933-857


Only null left
Add to Cart

Description

Description

This gene encodes a 110-kD transmembrane glycoprotein that is highly expressed by human monocytes and tissue macrophages. It is a member of the lysosomal/endosomal-associated membrane glycoprotein (LAMP) family. The protein primarily localizes to lysosomes and endosomes with a smaller fraction circulating to the cell surface. It is a type I integral membrane protein with a heavily glycosylated extracellular domain and binds to tissue- and organ-specific lectins or selectins. The protein is also a member of the scavenger receptor family. Scavenger receptors typically function to clear cellular debris, promote phagocytosis, and mediate the recruitment and activation of macrophages. Alternative splicing results in multiple transcripts encoding different isoforms. [provided by RefSeq]

Specifications

Specifications

CD68
Monoclonal
Unconjugated
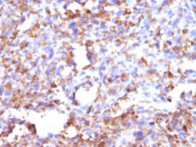
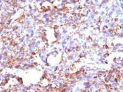
Flow Cytometry (0.5-1 ug/106 cells in 0.1 mL) Immunofluorescence (0.5-1 ug/mL) Immunohistochemistry (Formalin/PFA-fixed paraffin-embedded sections) (0.5-1 ug/mL) The optimal working dilution should be determined by the end user.
DKFZp686M18236/GP110/SCARD1
Mouse
Protein A/G purification
RUO
968
Store at 4°C.
IgG1 κ
Flow Cytometry, Immunofluorescence, Immunohistochemistry (PFA fixed)
CD68/G2
Mouse monoclonal antibody raised against full length recombinant human CD68.
In 10mM PBS (0.05% BSA, 0.05% sodium azide).
CD68
Recombinant protein corresponding to full length human CD68.
100 μg
Primary
Human
Liquid
Product Suggestions

Product Suggestions

Videos
SDS
Documents

Documents

Product Certifications
Promotions

Promotions

Product Content Correction

Your input is important to us. Please complete this form to provide feedback related to the content on this product.

Product Title

By clicking Submit, you acknowledge that you may be contacted by Fisher Scientific in regards to the feedback you have provided in this form. We will not share your information for any other purposes. All contact information provided shall also be maintained in accordance with our Privacy Policy.

Your feedback has been submitted: Thank you for helping us improve our website.