Promotional price valid on web orders only. Your contract pricing may differ. Interested in signing up for a dedicated account number?
Learn More
Learn More
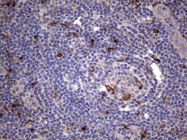
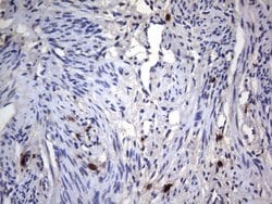
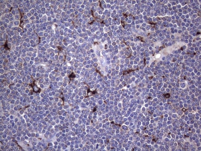
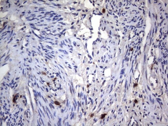
CD68 Mouse anti-Human, Clone: KP1, liquid, TrueMAB™

Mouse Monoclonal Antibody
Supplier: OriGene TA807199

Description
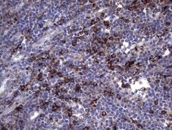
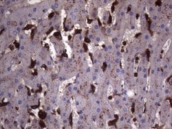
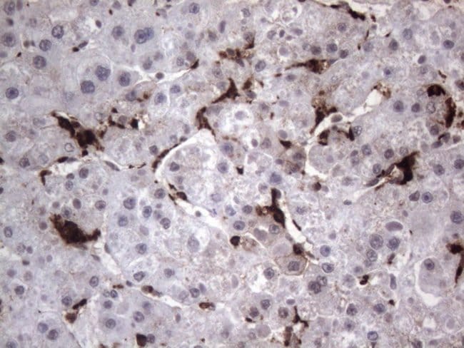
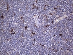
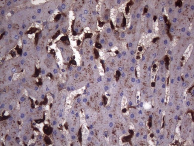
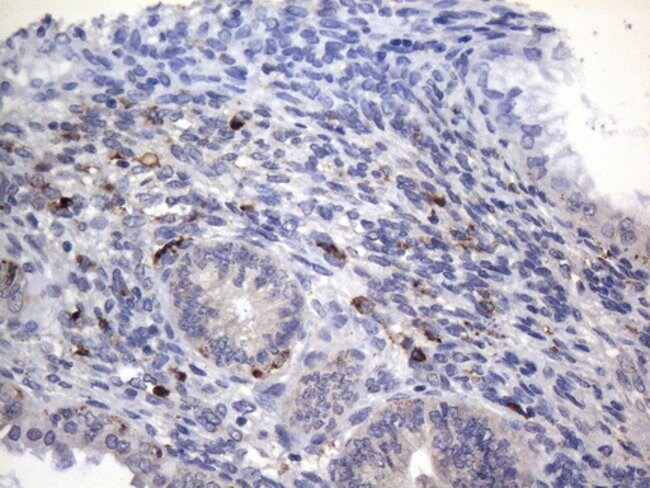
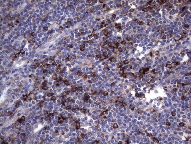
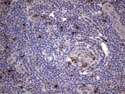
CD68 (Macrosialin) is a 110 kDa integral membrane glycoprotein predomitly expressed on the intracellular lysomsomes of monocytes and macrophages and to a lesser extent by dendritic cells and peripheral blood granulocytes. Also, CD68 could play a role in phagocytic activities of tissue macrophages, both in intracellular lysosomal metabolism and extracellular cell-cell and cell-pathogen interactions. CD68 is expressed by interdigitating reticulum cells in tonsil and some histiocytic lymphoma or histiocytosis, acute myeloid leukemia (AML), and granulocytic sarcoma. Elevated expression of CD68 has been demonstrated on CD34+ cells in various human maligcies, including several Acute Myeloid Leukemia studies.Specifications
CD68 | |
Monoclonal | |
Unconjugated | |
CD68 | |
GP110, LAMP4, SCARD1 | |
Mouse | |
Affinity Chromatography | |
RUO | |
968 | |
-20° C, Avoid Freeze/Thaw Cycles | |
Liquid |
Flow Cytometry, Immunohistochemistry (Paraffin) | |
KP1 | |
PBS with 1% BSA, 50% glycerol and 0.02% sodium azide | |
P34810 | |
CD68 | |
Lysosomal fraction of human lung macrophages CD68(KP1) | |
100 μL | |
Primary | |
Human | |
Antibody | |
IgG1 |
Product Content Correction
The Fisher Scientific Encompass Program offers items which are not part of our distribution portfolio. These products typically do not have pictures or detailed descriptions. However, we are committed to improving your shopping experience. Please use the form below to provide feedback related to the content on this product.
Product Title
Spot an opportunity for improvement?Share a Content Correction