Promotional price valid on web orders only. Your contract pricing may differ. Interested in signing up for a dedicated account number?
Learn More
Learn More
Invitrogen™ CD81 Polyclonal Antibody

Rabbit Polyclonal Antibody
Supplier: Invitrogen™ PA5114456
Description
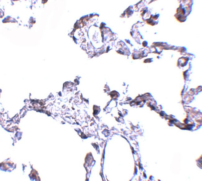
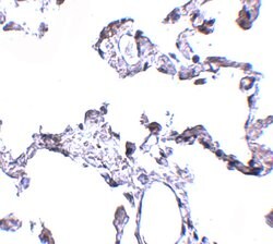
Positive controls that may be used include: RAW 264.7 Cell Lysate, Human Lung Tissue Slide, A549 Cell Slide.
CD81 (TAPA-1, target of anti-proliferative antibody-1) is a member of the tetraspanin family, is expressed on virtually all nucleated cells, but above all on germinal center B cells. CD81 forms complexes with other tetraspanin proteins, integrins, coreceptors, MHC class I and II molecules, and influences adhesion, morphology, activation, proliferation and differentiation of B, T cells. In muscles, CD81 promotes cell fusion and myotube maintenance. CD81 has been also identified as a receptor for the hepatitis C virus. Like members of the tetraspanin family that include CD9, CD37, CD53, CD63, and CD82, CD81 is a cell-surface proteins that are characterized by the presence of four hydrophobic domains. The proteins mediate signal transduction events that play a role in the regulation of cell development, activation, growth and motility. CD81 is a cell surface glycoprotein that is known to complex with integrins. CD81 appears to promote muscle cell fusion and support myotube maintenance. CD81 associates with CD19, CD21, Leu 13, and integrins on cell membrane and acts as a receptor for the envelope protein E2 of chronic hepatitis C virus. Antibodies to CD81 have anti-proliferative effects on different lymphoid cell lines, particularly those derived from large cell lymphomas. CD81 is also localized in the tumor-suppressor gene region and is a candidate gene for malignancies.
Specifications
| CD81 | |
| Polyclonal | |
| Unconjugated | |
| CD81 | |
| 26 kDa cell surface protein TAPA-1; CD 81 antigen; Cd81; CD81 antigen; CD81 antigen (target of antiproliferative antibody 1); CD81 molecule; CVID6; S5.7; Tapa1; Tapa-1; Target of the antiproliferative antibody 1; Tetraspanin28; tetraspanin-28; Tspan28; Tspan-28 | |
| Rabbit | |
| Antigen Affinity Chromatography | |
| RUO | |
| 12520, 25621, 975 | |
| 4°C | |
| Liquid |
| Immunohistochemistry (Paraffin), Western Blot, Immunocytochemistry | |
| 1 mg/mL | |
| PBS with 0.02% sodium azide | |
| P35762, P60033, Q62745 | |
| CD81 | |
| CD81 antibody was raised against a 20 amino acid synthetic peptide near the amino terminus of human CD81. The immunogen is located within amino acids 30 - 80 of CD81. | |
| 100 μg | |
| Primary | |
| Human, Mouse, Rat | |
| Antibody | |
| IgG |
Product Content Correction
Your input is important to us. Please complete this form to provide feedback related to the content on this product.
Product Title
Spot an opportunity for improvement?Share a Content Correction