Promotional price valid on web orders only. Your contract pricing may differ. Interested in signing up for a dedicated account number?
Learn More
Learn More
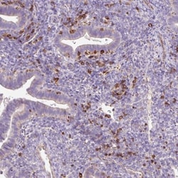
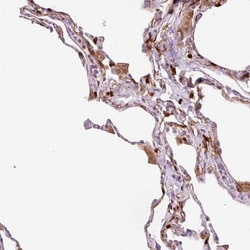
CD83 Antibody, Novus Biologicals™

Rabbit Polyclonal Antibody
Supplier: Novus Biologicals NBP238485
Description
CD83 Polyclonal specifically detects CD83 in Human samples. It is validated for Immunohistochemistry, Immunocytochemistry/Immunofluorescence, Immunohistochemistry-Paraffin.Specifications
CD83 | |
Polyclonal | |
Immunohistochemistry 1:50 - 1:200, Immunocytochemistry/Immunofluorescence 1 - 4 ug/ml, Immunohistochemistry-Paraffin 1:50 - 1:200 | |
Q01151 | |
CD83 | |
This antibody was developed against a recombinant protein corresponding to amino acids: PNERPYSLKIRNTTSCNSGTYRCTLQDPDGQRNLSGKVILRVTGCPAQRKEET | |
0.1 mL | |
Dendritic Cell Markers | |
9308 | |
Human | |
IgG |
Immunohistochemistry, Immunocytochemistry, Immunofluorescence, Immunohistochemistry (Paraffin) | |
Unconjugated | |
PBS (pH 7.2) and 40% Glycerol with 0.02% Sodium Azide | |
B-cell activation protein, BL11CD83 antigen, CD83 antigen (activated B lymphocytes, immunoglobulin superfamily), CD83 molecule, Cell surface protein HB15, cell-surface glycoprotein, HB15hCD83 | |
Rabbit | |
Affinity Purified | |
RUO | |
Primary | |
Specificity of antibody verified on a Protein Array containing target protein plus 383 other non-specific proteins. | |
Store at 4C short term. Aliquot and store at -20C long term. Avoid freeze-thaw cycles. |
Product Content Correction
Your input is important to us. Please complete this form to provide feedback related to the content on this product.
Product Title
Spot an opportunity for improvement?Share a Content Correction