Learn More
Invitrogen™ CD93 Polyclonal Antibody

Description
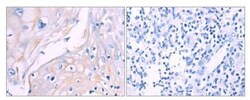
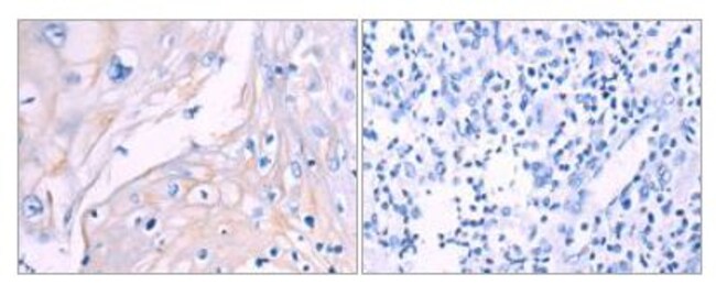
The antibody detects endogenous levels of total CD93 / C1qR protein.
Specifications
Specifications
| Antigen | CD93 |
| Applications | Immunohistochemistry (Paraffin), Western Blot |
| Classification | Polyclonal |
| Concentration | 0.5 mg/mL |
| Conjugate | Unconjugated |
| Formulation | PBS with 40% glycerol and 0.05% sodium azide; pH 7.4 |
| Gene | Cd93 |
| Gene Accession No. | Q9NPY3 |
| Gene Alias | 6030404G09Rik; AA145088; Aa4; AA4.1; AW555904; C1q receptor; C1q receptor 1; C1q/MBL/SPA receptor; C1qR; C1qR(P); C1qr1; C1qRP; Cd93; CD93 antigen; CD93 molecule; CDw93; Cell surface antigen AA4; complement component 1 q subcomponent receptor 1; complement component 1, q subcomponent, receptor 1; complement component C1q receptor; dJ737E23.1; ECSM3; Ly68; ly-68; Lymphocyte antigen 68; matrix-remodeling-associated protein 4; matrix-remodelling associated 4; MXRA4 |
| Gene Symbols | Cd93 |
| Show More |
By clicking Submit, you acknowledge that you may be contacted by Fisher Scientific in regards to the feedback you have provided in this form. We will not share your information for any other purposes. All contact information provided shall also be maintained in accordance with our Privacy Policy.