Promotional price valid on web orders only. Your contract pricing may differ. Interested in signing up for a dedicated account number?
Learn More

CD97 Polyclonal Antibody, Invitrogen™

Rabbit Polyclonal Antibody

Supplier:  Thermo Scientific PA528760

Catalog No. PIPA528760


Description

Description

Recommended positive controls: A549, HeLa, HepG2, HCT116. Store product as a concentrated solution. Centrifuge briefly prior to opening the vial.

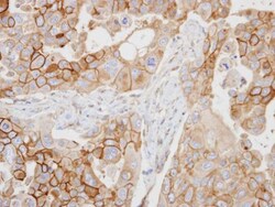
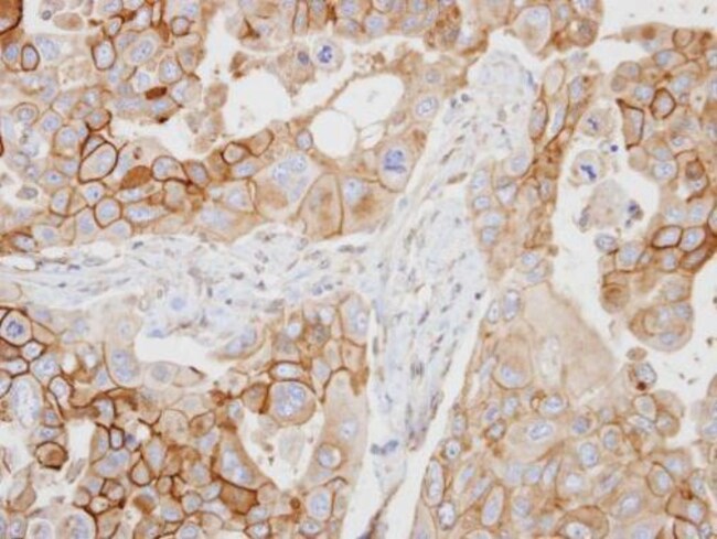
CD97 is a G-protein-coupled seven-span transmembrane adhesive receptor that is constitutively expressed on granulocytes and monocytes and rapidly upregulated on T and B cells upon activation. CD97 is produced in alternatively spliced forms and its cellular ligand is CD55 (DAF), which protects various cell types from complement-mediated damage. Interaction of CD97 on leukocytes and CD55 on vessel cells probably facilitate leukocyte activation and migration into the tissues, similarly, CD97 seems to play a role in tumour migration and invasiveness. CD97 is involved in T cell regulation and peripheral granulocyte homeostasis.
TRUSTED_SUSTAINABILITY
Specifications

Specifications

CD97
Polyclonal
Unconjugated
ADGRE5
AA409984; Adgre5; adhesion G protein-coupled receptor E5; Cd97; CD97 antigen; CD97 antigen subunit alpha; CD97 antigen subunit beta; CD97 molecule; EGF-TM7 receptor; leukocyte antigen CD97; seven transmembrane helix receptor; seven-span transmembrane protein; seven-transmembrane, heterodimeric receptor associated with inflammation; TM7LN1
Rabbit
Antigen affinity chromatography
RUO
976
Store at 4°C short term. For long term storage, store at -20°C, avoiding freeze/thaw cycles.
Liquid
Immunocytochemistry, Immunohistochemistry (Paraffin), Western Blot
0.47 mg/mL
0.1M tris glycine with 10% glycerol and 0.01% thimerosal; pH 7
P48960
ADGRE5, CD97
Synthetic peptide corresponding to a region within amino acids 771 and 835 of Human CD97
100 μL
Primary
Human
Antibody
IgG
Product Suggestions

Product Suggestions

Videos
Safety and Handling

Safety and Handling

WARNING: Cancer - www.P65Warnings.ca.gov
SDS
Documents

Documents

Product Certifications
Promotions

Promotions

Product Content Correction

Your input is important to us. Please complete this form to provide feedback related to the content on this product.

Product Title

By clicking Submit, you acknowledge that you may be contacted by Fisher Scientific in regards to the feedback you have provided in this form. We will not share your information for any other purposes. All contact information provided shall also be maintained in accordance with our Privacy Policy.

Your feedback has been submitted: Thank you for helping us improve our website.