Promotional price valid on web orders only. Your contract pricing may differ. Interested in signing up for a dedicated account number?
Learn More
Learn More
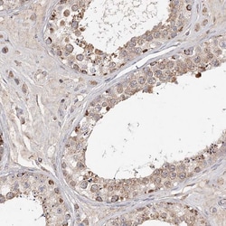
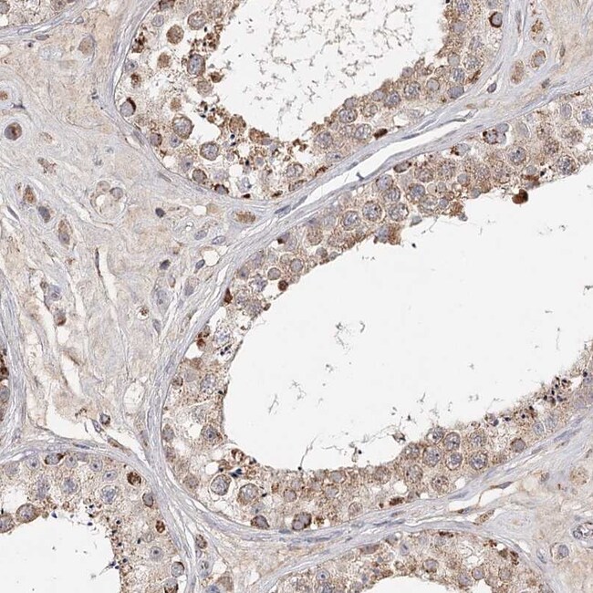
Invitrogen™ CDC123 Polyclonal Antibody

Rabbit Polyclonal Antibody
Supplier: Invitrogen™ PA558130
Description
Immunogen sequence: KEHVLHCQFS AWYPFFRGVT IKSVILPLPQ NVKDYLLDDG TLVVSGRDDP PTHSQPDSDD EAEEIQWSDD ENTATLTAPE FPEFATKVQ Highest antigen sequence identity to the following orthologs: Mouse - 85%, Rat - 88%.
The BCKDHA gene encodes the E1-alpha subunit of the branched-chain alpha-keto acid. The BCKD complex consists of 3 catalytic components: a heterotetrameric (alpha2-beta2) branched-chain alpha-keto acid decarboxylase (E1), a homo-24-meric dihydrolipoyl transacylase, and a homodimeric dihydrolipoamide dehydrogenase. E1 is a thiamine pyrophosphate (TPP)-dependent enzyme. The reaction is irreversible and constitutes the first committed step in BCAA oxidation. The BCKDHB gene encodes the beta subunit of E1. The complex also contains 2 regulatory enzymes, a kinase and a phosphorylase.
Spécifications
| CDC123 | |
| Polyclonal | |
| Unconjugated | |
| CDC123 | |
| AA959893; C10orf7; Cdc123; cell division cycle 123; cell division cycle 123 homolog; cell division cycle protein 123 homolog; Cell division cycle protein 123-like protein; D123; D123 gene product; G431001I09Rik; HT-1080; hypothetical protein; Protein D123; PZ32; QccE-12339 | |
| Rabbit | |
| Antigen Affinity Chromatography | |
| RUO | |
| 8872 | |
| Store at 4°C short term. For long term storage, store at -20°C, avoiding freeze/thaw cycles. | |
| Liquid |
| Immunohistochemistry (Paraffin), Western Blot, Immunocytochemistry | |
| 0.7 mg/mL | |
| PBS with 40% glycerol and 0.02% sodium azide; pH 7.2 | |
| O75794 | |
| CDC123 | |
| Recombinant protein corresponding to Human CDC123. Recombinant protein control fragment (Product #RP-97111). | |
| 100 μL | |
| Primary | |
| Human | |
| Antibody | |
| IgG |
missing translation for 'provideContentCorrection'
missing translation for 'type03FormHeader'
missing translation for 'productTitle'
missing translation for 'spotOppurtunityImprovement'missing translation for 'shareContentCorrection'