Promotional price valid on web orders only. Your contract pricing may differ. Interested in signing up for a dedicated account number?
Learn More
Learn More
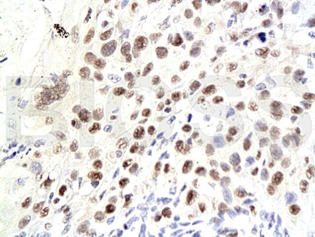
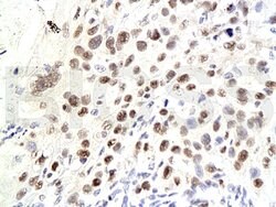
CDKN1A Rabbit anti-Human, Polyclonal, Bioss

Rabbit Polyclonal Antibody
Supplier: Bioss BS0741R
Description
Protein p21 is a tumor suppressor protein which is an inhibitor of Cyclin-dependent kinases (CDK) and is transcriptionally activated by p53. P21 is important in the response of cells to genotoxic stress and a major transcriptional target of p53 protein. The occurrence of p21 in the nucleus executes binding and inhibition activity of cyclin dependent kinases Cdk1 and Cdk2, and blocks the transition from G1 phase into S phase or from G2 phase into mitosis after DNA damage, which enables the repair of damaged DNA. In the cytoplasm, p21 protein has an anti-apoptotic effect. P21 is able to bind to and inhibit caspase 3, as well as the apoptotic kinases ASK1 and JNK. P21 exhibits a dual function in carcinogenesis, and acts as a tumor suppressor, prevents apoptosis, and acts as an oncogene.Specifications
| CDKN1A | |
| Polyclonal | |
| Unconjugated | |
| CDKN1A | |
| CAP20; cdk inhibitor CIP1 (p21); CDKI; CDK-interacting protein 1; CDK-interaction protein 1; CDKN1; CDKN1A; CDNK1A; CIP1; cyclin dependent kinase inhibitor 1A; Cyclin-dependent kinase inhibitor 1; cyclin-dependent kinase inhibitor 1A; cyclin-dependent kinase inhibitor 1A (P21); cyclin-dependent kinase inhibitor 1A (p21, Cip1); cyclin-dependent kinase inhibitor 1A variant 1; cyclin-dependent kinase inhibitor 1A variant 2; DNA synthesis inhibitor; MDA6; MDA-6; melanoma differentiation associated protein 6; Melanoma differentiation-associated protein; Melanoma differentiation-associated protein 6; OTTHUMP00000016298; p21; p21 |
|
| Rabbit | |
| Protein A | |
| RUO | |
| 1026 | |
| -20°C | |
| Liquid |
| Immunofluorescence, Immunohistochemistry (Paraffin), Western Blot | |
| 1 μg/mL | |
| PBS with 1% BSA, 50% glycerol and 0.09% sodium azide; pH | |
| P38936 | |
| CDKN1A | |
| KLH conjugated synthetic peptide derived from mouse P21 . | |
| 100 μL | |
| Primary | |
| Human | |
| Antibody | |
| IgG |
Product Content Correction
The Fisher Scientific Encompass Program offers items which are not part of our distribution portfolio. These products typically do not have pictures or detailed descriptions. However, we are committed to improving your shopping experience. Please use the form below to provide feedback related to the content on this product.
Product Title
Spot an opportunity for improvement?Share a Content Correction