Promotional price valid on web orders only. Your contract pricing may differ. Interested in signing up for a dedicated account number?
Learn More
Learn More
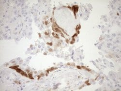
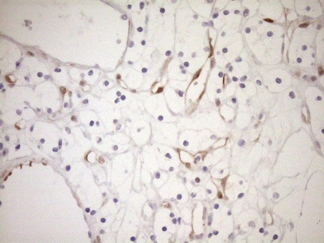
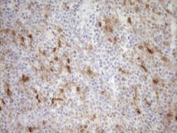
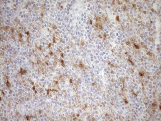
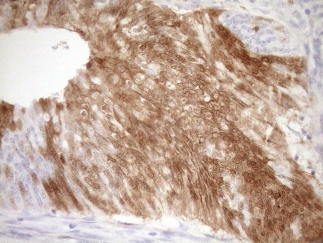
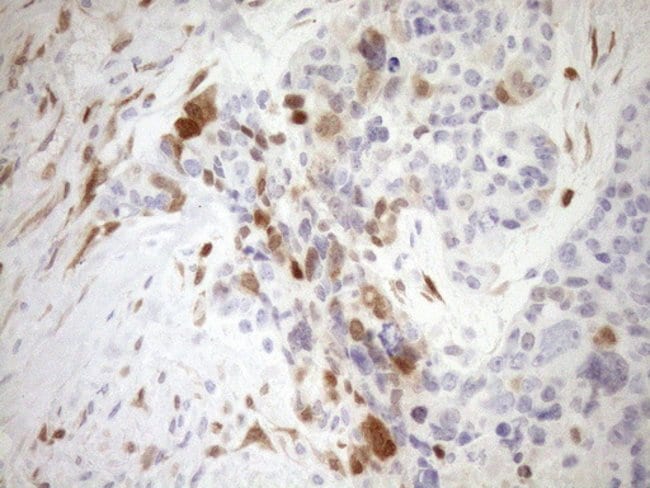
CDKN2A Monoclonal Antibody (OTI3G3), TrueMAB™, OriGene

Mouse Monoclonal Antibody
Supplier: OriGene TA801874

Description
In humans, the multiple tumor suppressor 1 locus (MTS1) encodes two unrelated genes, p16INK4a and p19ARF. Although both act as cell proliferation inhibitors, their mechanisms of action are different. p19ARF works as part of a p53-dependent pathway to counter uncontrolled proliferation and oncogenic signals. Mice lacking the p19ARF gene rapidly develop a broad spectrum of tumors. This result indicates that p19ARF is an important tumor suppressor. In addition, p19ARF helps prevent transforming signals from various onocoproteins via the p53 regulatory loop. These studies and others display the importance of p19ARF in cell cycle control and tumor suppression.Specifications
CDKN2A | |
Monoclonal | |
1 mg/mL | |
PBS with 1% BSA, 50% glycerol and 0.02% sodium azide | |
Q8N726 | |
CDKN2A | |
Full length human recombit protein of human CDKN2A produced in E.coli. | |
100 μL | |
Primary | |
Human | |
Antibody | |
IgG1 |
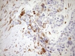
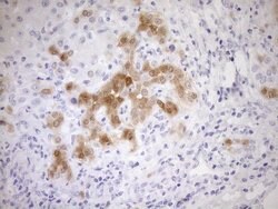
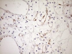
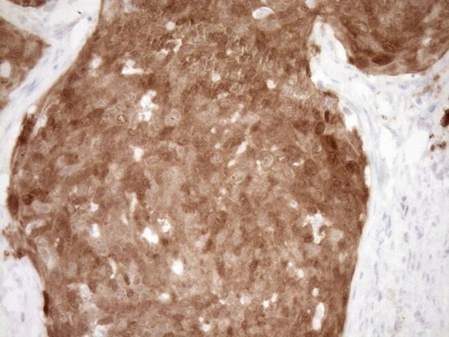
Immunohistochemistry (Paraffin) | |
OTI3G3 | |
Unconjugated | |
CDKN2A | |
ARF, CDK4I, CDKN2, CMM2, INK4, INK4A, MLM, MTS-1, MTS1, P14, P14ARF, P16, P16-INK4A, P16INK4, P16INK4A, P19, P19ARF, TP16 | |
Mouse | |
Affinity Chromatography | |
RUO | |
1029 | |
-20° C, Avoid Freeze/Thaw Cycles | |
Liquid |
Product Content Correction
The Fisher Scientific Encompass Program offers items which are not part of our distribution portfolio. These products typically do not have pictures or detailed descriptions. However, we are committed to improving your shopping experience. Please use the form below to provide feedback related to the content on this product.
Product Title
Spot an opportunity for improvement?Share a Content Correction