Promotional price valid on web orders only. Your contract pricing may differ. Interested in signing up for a dedicated account number?
Learn More
Learn More
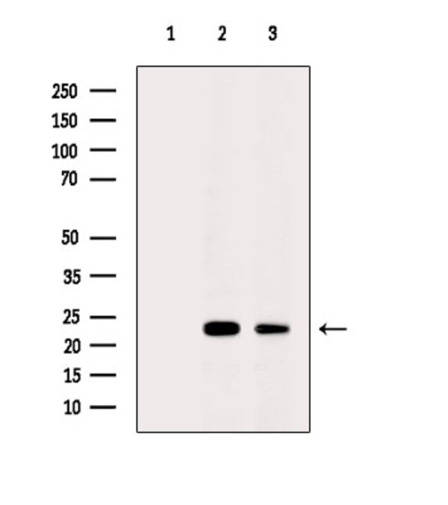
Invitrogen™ CDO1 Polyclonal Antibody

Rabbit Polyclonal Antibody
Supplier: Invitrogen™ PA5104298
Description
Antibody detects endogenous levels of total CDO1.
CDO1 (cysteine dioxygenase, type I) belongs to the cysteine dioxygenase family and is involved in organosulfur biosynthesis. CDO1 functions as a dioxygenase that uses iron and zinc as cofactors to catalyze the conversion of L-cysteine and oxygen to 3-sulfinoalanine. CDO1 exists as a monomer and is expressed at high levels in liver and placenta and at lower levels in brain, pancreas and heart. CDO1 is involved in pyruvate-, sulfate- and taurine-related metabolic pathways and is a crucial regulator of cysteine concentrations within the cell.
Specifications
| CDO1 | |
| Polyclonal | |
| Unconjugated | |
| Cdo1 | |
| 1300002L19Rik; Cdo; CDO1; CDOI; CDO-I; cysteine dioxygenase 1, cytosolic; cysteine dioxygenase type 1; Cysteine dioxygenase type I; cysteine dioxygenase, type I; cytosolic cysteine dioxygenase 1; D18Ucla3 | |
| Rabbit | |
| Affinity chromatography | |
| RUO | |
| 1036, 12583, 81718 | |
| -20°C | |
| Liquid |
| Western Blot | |
| 1 mg/mL | |
| PBS with 50% glycerol and 0.02% sodium azide; pH 7.4 | |
| P21816, P60334, Q16878 | |
| Cdo1 | |
| A synthesized peptide derived from human CDO1(Accession Q16878), corresponding to amino acid residues V142-A192. | |
| 100 μL | |
| Primary | |
| Human, Mouse, Rat | |
| Antibody | |
| IgG |
Safety and Handling
WARNING: Cancer - www.P65Warnings.ca.gov
Product Content Correction
Your input is important to us. Please complete this form to provide feedback related to the content on this product.
Product Title
Spot an opportunity for improvement?Share a Content Correction